| UNIPROT | P01889 |
Anti-HLA-B Antibody (R3Z69) (RHM00203)
Реактивность подтвержденная:
человек
Источник (хозяин):
мышь
Валидировано для:
ELISA
FCM
IF
IHC
WB
Характеристики
Техническое описание
| Русское название | RHM00203 Моноклональное антитело к HLA-B (R3Z69) <AntibodySystem,Китай> |
| Каталожный номер | RHM00203 |
| Название антигена | Major Histocompatibility Complex Class I B (MHCB) |
| UNIPROT | P01889 |
| Английские синонимы | MHC-B, HLA-B, HLAB, AS, SPDA1, Leukocyte Antigen B, Ankylosing Spondylitis, HLA class I histocompatibility antigen, B-7 alpha chain |
Реактивность подтвержденная Нужна другая реактивность? |
человек |
| Источник (хозяин) | мышь |
| Изотип | IgG1 |
| Клональность | моноклональное |
| Клон | R3Z69 |
| Рекомбинантное | да |
| Готовое к использованию | нет |
| Концентрация | 1 мг/мл |
| Конъюгат | нет |
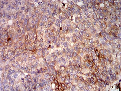
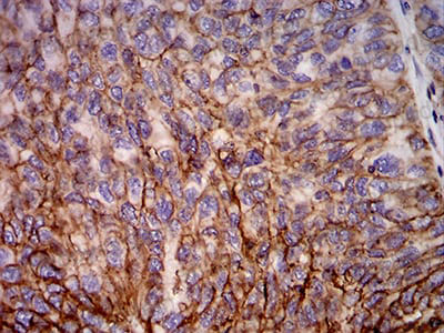
| Валидировано для | ELISA FCM IF IHC WB Иммуноферментный анализ; Проточная цитометрия; Иммунофлуоресценция; Иммуногистохимия; Вестерн-блоттинг |
| Рекомендуемые разведения | ELISA: 1:10000, FCM: 1:200-1:400, IF: 1:200-1:1000, IHC: 1:200-1:1000, WB: 1:500-1:2000 |
| Метод очистки | Очистка с белками A/G из супернатанта клеточной культуры |
| Чистота | >95% |
| Состав буфера | 0.01M PBS, pH 7.4, 0.05% натрия азид |
| Условия хранения | Хранить при 4°C не более 1-2 недель. Хранить при -20°C - 12 месяцев |
| Срок хранения | 12 месяцев |
| Производитель | AntibodySystem |
| Ссылка на страницу товара на сайте производителя | https://www.antibodysystem.com/product/37027.html |
|
Артикул
|
Наименование |
Производитель
|
|---|
|
Артикул
|
Наименование |
Производитель
|
|---|
Акции и предложения
Популярные продукты:
Recombinant Human BCL10 Protein, N-His (YHB82401)
Источник (хозяин): E.coli
Организм: человек
Фрагмент: Met1-Gln233
Теги: N-His
Биоактивность: нет
Организм: человек
Фрагмент: Met1-Gln233
Теги: N-His
Биоактивность: нет
Anti-HLA-B Antibody (R3Z69) (RHM00203)
Источник (хозяин): мышь
Реактивность подтвержденная: человек
Валидировано для: ELISA, FCM, IF, IHC, WB
Реактивность подтвержденная: человек
Валидировано для: ELISA, FCM, IF, IHC, WB
Elab Fluor®700 Anti-Human CD11a Antibody[HI111] (E-AB-F1316M1)
Источник (хозяин): мышь
Реактивность подтвержденная: человек
Валидировано для: FCM
Реактивность подтвержденная: человек
Валидировано для: FCM
Elab Fluor® 488 Anti-Human/Mouse CD44 Antibody[IM7] (E-AB-F1100L)
Источник (хозяин): крыса
Реактивность подтвержденная: человек, мышь
Валидировано для: FCM
Реактивность подтвержденная: человек, мышь
Валидировано для: FCM

