| UNIPROT | P01889 |
Anti-HLA-B Antibody (R3Z70) (RHM00202)
Реактивность подтвержденная:
человек
Источник (хозяин):
мышь
Валидировано для:
ELISA
FCM
IHC
WB
Характеристики
Техническое описание
| Русское название | RHM00202 Моноклональное антитело к HLA-B (R3Z70) <AntibodySystem,Китай> |
| Каталожный номер | RHM00202 |
| Название антигена | Major Histocompatibility Complex Class I B (MHCB) |
| UNIPROT | P01889 |
| Английские синонимы | MHC-B, HLA-B, HLAB, AS, SPDA1, Leukocyte Antigen B, Ankylosing Spondylitis, HLA class I histocompatibility antigen, B-7 alpha chain |
Реактивность подтвержденная Нужна другая реактивность? |
человек |
| Источник (хозяин) | мышь |
| Изотип | IgG1 |
| Клональность | моноклональное |
| Клон | R3Z70 |
| Рекомбинантное | да |
| Готовое к использованию | нет |
| Концентрация | 1 мг/мл |
| Конъюгат | нет |
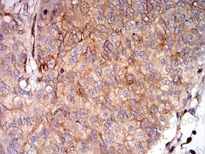
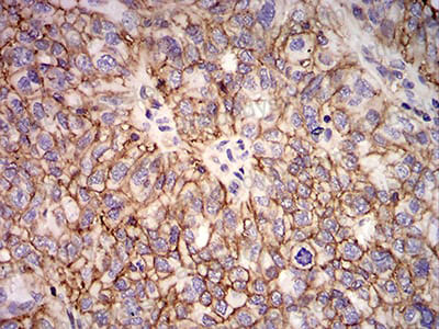
| Валидировано для | ELISA FCM IHC WB Иммуноферментный анализ; Проточная цитометрия; Иммуногистохимия; Вестерн-блоттинг |
| Рекомендуемые разведения | ELISA: 1:10000, FCM: 1:200-1:400, IHC: 1:200-1:1000, WB: 1:500-1:2000 |
| Метод очистки | Очистка с белками A/G из супернатанта клеточной культуры |
| Чистота | >95% |
| Состав буфера | 0.01M PBS, pH 7.4, 0.05% натрия азид |
| Условия хранения | Хранить при 4°C не более 1-2 недель. Хранить при -20°C - 12 месяцев |
| Срок хранения | 12 месяцев |
| Производитель | AntibodySystem |
| Ссылка на страницу товара на сайте производителя | https://www.antibodysystem.com/product/37028.html |
|
Артикул
|
Наименование |
Производитель
|
|---|
|
Артикул
|
Наименование |
Производитель
|
|---|
Акции и предложения
Популярные продукты:
Anti-M6P Antibody (M6P-1) (RGP14201)
Источник (хозяин): кролик
Реактивность подтвержденная: для всех
Валидировано для: ELISA, IHC, WB
Реактивность подтвержденная: для всех
Валидировано для: ELISA, IHC, WB
Human Small ubiquitin related modifier 2(SUMO2) ELISA kit (E01S0423)
Организм: человек
Диапазон определения: 0.5-10 нг/мл
Чувствительность: 0.1 нг/мл
Диапазон определения: 0.5-10 нг/мл
Чувствительность: 0.1 нг/мл
Human Cluster Of Differentiation 109 ELISA kit (E01C0311)
Организм: человек
Диапазон определения: 2.5-50 нг/мл
Чувствительность: 0.1 нг/мл
Диапазон определения: 2.5-50 нг/мл
Чувствительность: 0.1 нг/мл
Human Adenylate Cyclase 3 ELISA kit (E01A0488)
Организм: человек
Диапазон определения: 1-25 нг/мл
Чувствительность: 0.1 нг/мл
Диапазон определения: 1-25 нг/мл
Чувствительность: 0.1 нг/мл

