| UNIPROT | P10321 |
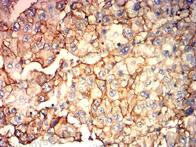
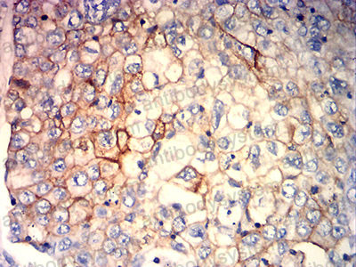
Anti-HLA-C Antibody (R3Z71) (RHM00304)
Реактивность подтвержденная:
человек, мышь
Источник (хозяин):
мышь
Валидировано для:
ELISA
IHC
WB
Характеристики
Техническое описание
| Русское название | RHM00304 Моноклональное антитело к HLA-C (R3Z71) <AntibodySystem,Китай> |
| Каталожный номер | RHM00304 |
| Название антигена | Major Histocompatibility Complex Class I C (MHCC) |
| UNIPROT | P10321 |
| Английские синонимы | MHC-C, HLAC, HLA-JY3, HLC-C, HLA-C, PSORS1 Leukocyte Antigen C, HLA class I histocompatibility antigen, Cw-7 alpha chain |
Реактивность подтвержденная Нужна другая реактивность? |
человек, мышь |
| Источник (хозяин) | мышь |
| Изотип | IgG1 |
| Клональность | моноклональное |
| Клон | R3Z71 |
| Рекомбинантное | да |
| Готовое к использованию | нет |
| Концентрация | 1 мг/мл |
| Конъюгат | нет |
| Валидировано для | ELISA IHC WB Иммуноферментный анализ; Иммуногистохимия; Вестерн-блоттинг |
| Рекомендуемые разведения | ELISA: 1:10000, IHC: 1:200-1:1000, WB: 1:500-1:2000 |
| Метод очистки | Очистка с белками A/G из супернатанта клеточной культуры |
| Чистота | >95% |
| Состав буфера | 0.01M PBS, pH 7.4, 0.05% натрия азид |
| Условия хранения | Хранить при 4°C не более 1-2 недель. Хранить при -20°C - 12 месяцев |
| Срок хранения | 12 месяцев |
| Производитель | AntibodySystem |
| Ссылка на страницу товара на сайте производителя | https://www.antibodysystem.com/product/37029.html |
|
Артикул
|
Наименование |
Производитель
|
|---|
|
Артикул
|
Наименование |
Производитель
|
|---|
Акции и предложения
Популярные продукты:
Human Bone Morphogenetic Protein 1 ELISA kit (E01B0393)
Организм: человек
Диапазон определения: 250-5000 пг/мл
Чувствительность: 1 пг/мл
Диапазон определения: 250-5000 пг/мл
Чувствительность: 1 пг/мл
Anti-BECN1 Polyclonal Antibody (PHG80202)
Источник (хозяин): кролик
Реактивность подтвержденная: человек, мышь, крыса
Валидировано для: ELISA, IHC, WB
Реактивность подтвержденная: человек, мышь, крыса
Валидировано для: ELISA, IHC, WB
NDUFAF4 Polyclonal Antibody (E-AB-64984)
Источник (хозяин): кролик
Реактивность подтвержденная: человек, мышь, крыса
Валидировано для: IF, WB
Реактивность подтвержденная: человек, мышь, крыса
Валидировано для: IF, WB
ELISA Kit DIY Materials for Mucin 5 Subtype AC (MUC5AC) (KSA756Ra01)
Организм: крыса
Диапазон определения: 0.312-20 нг/мл
Чувствительность: 0.113 нг/мл
Диапазон определения: 0.312-20 нг/мл
Чувствительность: 0.113 нг/мл
ELISA Kit DIY Materials for Forkhead Box P3 (FOXP3) (KSB877Mu01)
Организм: мышь
Диапазон определения: 0.312-20 нг/мл
Чувствительность: 0.126 нг/мл
Диапазон определения: 0.312-20 нг/мл
Чувствительность: 0.126 нг/мл
ELISA Kit DIY Materials for 5-Lipoxygenase (5-LO) (KSB355Hu01)
Организм: человек
Диапазон определения: 0.156-10 нг/мл
Чувствительность: 0.061 нг/мл
Диапазон определения: 0.156-10 нг/мл
Чувствительность: 0.061 нг/мл

