| UNIPROT | P10321 |
Anti-HLA-C Antibody (R3Z72) (RHM00303)
Реактивность подтвержденная:
человек
Источник (хозяин):
мышь
Валидировано для:
ELISA
FCM
IF
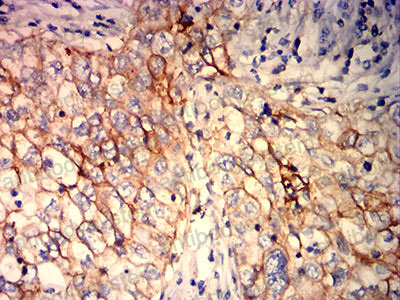
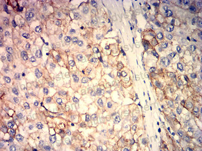
IHC
Характеристики
Техническое описание
| Русское название | RHM00303 Моноклональное антитело к HLA-C (R3Z72) <AntibodySystem,Китай> |
| Каталожный номер | RHM00303 |
| Название антигена | Major Histocompatibility Complex Class I C (MHCC) |
| UNIPROT | P10321 |
| Английские синонимы | MHC-C, HLAC, HLA-JY3, HLC-C, HLA-C, PSORS1 Leukocyte Antigen C, HLA class I histocompatibility antigen, Cw-7 alpha chain |
Реактивность подтвержденная Нужна другая реактивность? |
человек |
| Источник (хозяин) | мышь |
| Изотип | IgG1 |
| Клональность | моноклональное |
| Клон | R3Z72 |
| Рекомбинантное | да |
| Готовое к использованию | нет |
| Концентрация | 1 мг/мл |
| Конъюгат | нет |
| Валидировано для | ELISA FCM IF IHC Иммуноферментный анализ; Проточная цитометрия; Иммунофлуоресценция; Иммуногистохимия |
| Рекомендуемые разведения | ELISA: 1:10000, FCM: 1:200-1:400, IF: 1:50-1:200, IHC: 1:200-1:1000 |
| Метод очистки | Очистка с белками A/G из супернатанта клеточной культуры |
| Чистота | >95% |
| Состав буфера | 0.01M PBS, pH 7.4, 0.05% натрия азид |
| Условия хранения | Хранить при 4°C не более 1-2 недель. Хранить при -20°C - 12 месяцев |
| Срок хранения | 12 месяцев |
| Производитель | AntibodySystem |
| Ссылка на страницу товара на сайте производителя | https://www.antibodysystem.com/product/37030.html |
|
Артикул
|
Наименование |
Производитель
|
|---|
|
Артикул
|
Наименование |
Производитель
|
|---|
Акции и предложения
Популярные продукты:
ELISA Kit DIY Materials for Runt Related Transcription Factor 1 (RUNX1) (KSD750Hu01)
Организм: человек
Диапазон определения: 0.156-10 нг/мл
Чувствительность: 0.055 нг/мл
Диапазон определения: 0.156-10 нг/мл
Чувствительность: 0.055 нг/мл
ELISA Kit DIY Materials for Ectonucleotide Pyrophosphatase/Phosphodiesterase 1 (ENPP1) (KSF219Hu01)
Организм: человек
Диапазон определения: 0.156-10 нг/мл
Чувствительность: 0.061 нг/мл
Диапазон определения: 0.156-10 нг/мл
Чувствительность: 0.061 нг/мл
Rat Calcium independent phospholipase A2 ELISA kit (E02C2395)
Организм: крыса
Human Calcium independent phospholipase A2 ELISA kit (E01C2395)
Организм: человек
Sheep Oxalic Acid ELISA kit (E14O0851)
Организм: овца
Monkey Sodium/bile acid cotransporter 7(SLC10A7) ELISA kit (E09S0367)
Организм: обезьяна

