| UNIPROT | P01911 |
Anti-HLA-DRB1 Antibody (R3Z76) (RHM00905)
Реактивность подтвержденная:
человек
Источник (хозяин):
мышь
Валидировано для:
ELISA
FCM
IHC
WB
Характеристики
Техническое описание
| Русское название | RHM00905 Моноклональное антитело к HLA-DRB1 (R3Z76) <AntibodySystem,Китай> |
| Каталожный номер | RHM00905 |
| Название антигена | Major Histocompatibility Complex Class II DR Beta 1 (MHCDRb1) |
| UNIPROT | P01911 |
| Английские синонимы | HLA-DRB1, HLA-DR1B, HLADRb1, HLA Class II Histocompatibility Antigen,DRB1-9 Beta Chain, HLA class II histocompatibility antigen, DRB1-15 beta chain |
Реактивность подтвержденная Нужна другая реактивность? |
человек |
| Источник (хозяин) | мышь |
| Изотип | IgG1 |
| Клональность | моноклональное |
| Клон | R3Z76 |
| Рекомбинантное | да |
| Готовое к использованию | нет |
| Концентрация | 1 мг/мл |
| Конъюгат | нет |
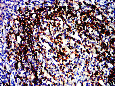
| Валидировано для | ELISA FCM IHC WB Иммуноферментный анализ; Проточная цитометрия; Иммуногистохимия; Вестерн-блоттинг |
| Рекомендуемые разведения | ELISA: 1:10000, FCM: 1:200-1:400, IHC: 1:200-1:1000, WB: 1:500-1:2000 |
| Метод очистки | Очистка с белками A/G из супернатанта клеточной культуры |
| Чистота | >95% |
| Состав буфера | 0.01M PBS, pH 7.4, 0.05% натрия азид |
| Условия хранения | Хранить при 4°C не более 1-2 недель. Хранить при -20°C - 12 месяцев |
| Срок хранения | 12 месяцев |
| Производитель | AntibodySystem |
| Ссылка на страницу товара на сайте производителя | https://www.antibodysystem.com/product/37034.html |
|
Артикул
|
Наименование |
Производитель
|
|---|
|
Артикул
|
Наименование |
Производитель
|
|---|
|
Артикул
|
Наименование |
Производитель
|
|---|
Акции и предложения
Популярные продукты:
Monkey Actin like protein 6A(ACTL6A) ELISA kit (E09A1222)
Организм: обезьяна
Porcine Secretagogin ELISA kit (E07S0807)
Организм: свинья
Bovine Glucocorticoid receptor ELISA kit (E11G0359)
Организм: корова
Guinea Pig Glucocorticoid receptor ELISA kit (E05G0359)
Организм: морская свинка
Recombinant Human CD235b/GYPB Protein, C-Fc (EHC18601)
Источник (хозяин): клетки млекопитающих
Организм: человек
Фрагмент: Met1-Ala59
Теги: C-Fc
Биоактивность: нет
Организм: человек
Фрагмент: Met1-Ala59
Теги: C-Fc
Биоактивность: нет
Biotin Anti-Human/Mouse CD44 Antibody[IM7] (FCE2324)
Источник (хозяин): крыса
Реактивность подтвержденная: человек, мышь
Валидировано для: FCM
Реактивность подтвержденная: человек, мышь
Валидировано для: FCM

