| UNIPROT | P01911 |
Anti-HLA-DRB1 Antibody (R3Z77) (RHM00904)
Реактивность подтвержденная:
человек
Источник (хозяин):
мышь
Валидировано для:
ELISA
FCM
IHC
Характеристики
Техническое описание
| Русское название | RHM00904 Моноклональное антитело к HLA-DRB1 (R3Z77) <AntibodySystem,Китай> |
| Каталожный номер | RHM00904 |
| Название антигена | Major Histocompatibility Complex Class II DR Beta 1 (MHCDRb1) |
| UNIPROT | P01911 |
| Английские синонимы | HLA-DRB1, HLA-DR1B, HLADRb1, HLA Class II Histocompatibility Antigen,DRB1-9 Beta Chain, HLA class II histocompatibility antigen, DRB1-15 beta chain |
Реактивность подтвержденная Нужна другая реактивность? |
человек |
| Источник (хозяин) | мышь |
| Изотип | IgG1 |
| Клональность | моноклональное |
| Клон | R3Z77 |
| Рекомбинантное | да |
| Готовое к использованию | нет |
| Концентрация | 1 мг/мл |
| Конъюгат | нет |
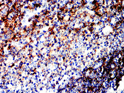
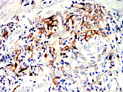
| Валидировано для | ELISA FCM IHC Иммуноферментный анализ; Проточная цитометрия; Иммуногистохимия |
| Рекомендуемые разведения | ELISA: 1:10000, FCM: 1:200-1:400, IHC: 1:200-1:1000 |
| Метод очистки | Очистка с белками A/G из супернатанта клеточной культуры |
| Чистота | >95% |
| Состав буфера | 0.01M PBS, pH 7.4, 0.05% натрия азид |
| Условия хранения | Хранить при 4°C не более 1-2 недель. Хранить при -20°C - 12 месяцев |
| Срок хранения | 12 месяцев |
| Производитель | AntibodySystem |
| Ссылка на страницу товара на сайте производителя | https://www.antibodysystem.com/product/37035.html |
|
Артикул
|
Наименование |
Производитель
|
|---|
|
Артикул
|
Наименование |
Производитель
|
|---|
|
Артикул
|
Наименование |
Производитель
|
|---|
Акции и предложения
Популярные продукты:
Anti-Wingless Type MMTV Integration Site Family, Member 1 (WNT1) Monoclonal Antibody (FAL821Hu04)
Источник (хозяин): мышь
Реактивность подтвержденная: человек
Валидировано для: FCM
Реактивность подтвержденная: человек
Валидировано для: FCM
ELISA Kit DIY Materials for Amylase, Alpha 2A (AMY2A) (KSB454Mu01)
Организм: мышь
Диапазон определения: 3.12-200 пг/мл
Чувствительность: 1.39 пг/мл
Диапазон определения: 3.12-200 пг/мл
Чувствительность: 1.39 пг/мл
Human Secreted Frizzled Related Protein 4 ELISA kit (E01S0468)
Организм: человек
Chicken Sequestosome 1 ELISA kit (E12S0792)
Организм: курица
Диапазон определения: 1-25 нг/мл
Диапазон определения: 1-25 нг/мл
Human Interferon regulatory factor 1(IRF1) ELISA kit (E01I0439)
Организм: человек
Диапазон определения: 1-25 нг/мл
Чувствительность: 0.1 нг/мл
Диапазон определения: 1-25 нг/мл
Чувствительность: 0.1 нг/мл

