| UNIPROT | P09601 |
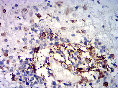
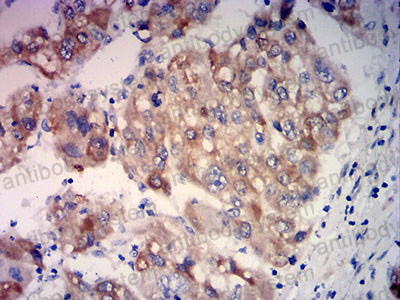
Anti-HMOX1 Antibody (R3B68) (RHC42004)
Реактивность подтвержденная:
человек
Источник (хозяин):
мышь
Валидировано для:
ELISA
FCM
IHC
Характеристики
Техническое описание
| Русское название | RHC42004 Моноклональное антитело к HMOX1 (R3B68) <AntibodySystem,Китай> |
| Каталожный номер | RHC42004 |
| Название антигена | Heme Oxygenase 1, Decycling (HO1) |
| UNIPROT | P09601 |
| Английские синонимы | HMOX1, Hsp32, HMOX1D |
Реактивность подтвержденная Нужна другая реактивность? |
человек |
| Источник (хозяин) | мышь |
| Изотип | IgG1 |
| Клональность | моноклональное |
| Клон | R3B68 |
| Рекомбинантное | да |
| Готовое к использованию | нет |
| Концентрация | 1 мг/мл |
| Конъюгат | нет |
| Валидировано для | ELISA FCM IHC Иммуноферментный анализ; Проточная цитометрия; Иммуногистохимия |
| Рекомендуемые разведения | ELISA: 1:10000, FCM: 1:200-1:400, IHC: 1:200-1:1000 |
| Метод очистки | Очистка с белками A/G из супернатанта клеточной культуры |
| Чистота | >95% |
| Состав буфера | 0.01M PBS, pH 7.4, 0.05% натрия азид |
| Условия доставки | термобокс с аккумуляторами холода |
| Условия хранения | Хранить при 4°C не более 1-2 недель. Хранить при -20°C - 12 месяцев |
| Срок хранения | 12 месяцев |
| Производитель | AntibodySystem |
| Ссылка на страницу товара на сайте производителя | https://www.antibodysystem.com/product/34849.html |
|
Артикул
|
Наименование |
Производитель
|
|---|
|
Артикул
|
Наименование |
Производитель
|
|---|
|
Артикул
|
Наименование |
Производитель
|
|---|
|
Артикул
|
Наименование |
Производитель
|
|---|
|
Артикул
|
Наименование |
Производитель
|
|---|
|
Артикул
|
Наименование |
Производитель
|
|---|
|
Артикул
|
Наименование |
Производитель
|
|---|
Акции и предложения
Популярные продукты:
HO-1 Mouse Monoclonal Antibody (BF8020)
Источник (хозяин): мышь
Реактивность подтвержденная: человек, мышь
Валидировано для: ICC, IF, IHC, WB
Реактивность подтвержденная: человек, мышь
Валидировано для: ICC, IF, IHC, WB
Canine Lysosomal protective protein ELISA kit (E08L0309)
Организм: собака
Anti-Human ATP5IF1 Polyclonal Antibody (PHK05501)
Источник (хозяин): кролик
Реактивность подтвержденная: человек
Валидировано для: ELISA, IHC, WB
Реактивность подтвержденная: человек
Валидировано для: ELISA, IHC, WB
Recombinant BVDV Glycoprotein E2/gp53 Protein, C-His (EVV14703)
Источник (хозяин): клетки насекомых
Организм: вирусы
Фрагмент: His36-His370
Теги: C-His
Биоактивность: нет
Организм: вирусы
Фрагмент: His36-His370
Теги: C-His
Биоактивность: нет
Anti-HMOX1 Antibody (R3B68) (RHC42004)
Источник (хозяин): мышь
Реактивность подтвержденная: человек
Валидировано для: ELISA, FCM, IHC
Реактивность подтвержденная: человек
Валидировано для: ELISA, FCM, IHC
Anti-HMOX1 Antibody (R3B67) (RHC42003)
Источник (хозяин): мышь
Реактивность подтвержденная: человек
Валидировано для: ELISA, FCM, IHC
Реактивность подтвержденная: человек
Валидировано для: ELISA, FCM, IHC

