| UNIPROT | P35680 |
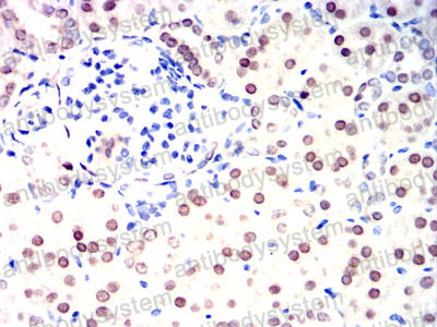
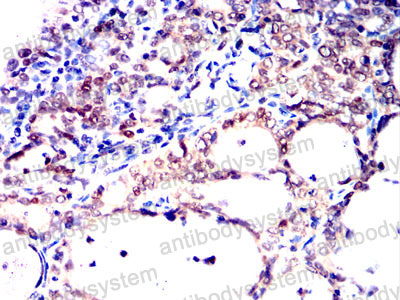
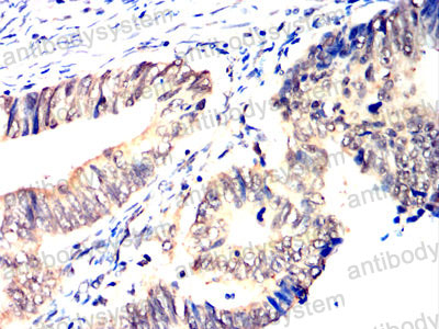
Anti-HNF1B Antibody (R3J91) (RHE14902)
Реактивность подтвержденная:
человек, мышь, крыса
Источник (хозяин):
мышь
Валидировано для:
ELISA
FCM
IF
IHC
WB
Характеристики
Техническое описание
| Русское название | RHE14902 Моноклональное антитело к HNF1B (R3J91) <AntibodySystem,Китай> |
| Каталожный номер | RHE14902 |
| Название антигена | Hepatocyte Nuclear Factor 1 Beta (HNF1b) |
| UNIPROT | P35680 |
| Английские синонимы | FJHN, TCF2, HNF1beta, HNF2, LFB3, LF-B3, MODY5, VHNF1, Transcription Factor 2,Hepatic, Variant Hepatic Nuclear Factor, Homeoprotein LFB3 |
Реактивность подтвержденная Нужна другая реактивность? |
человек, мышь, крыса |
| Источник (хозяин) | мышь |
| Изотип | IgG2a |
| Клональность | моноклональное |
| Клон | R3J91 |
| Рекомбинантное | да |
| Готовое к использованию | нет |
| Концентрация | 1 мг/мл |
| Конъюгат | нет |
| Валидировано для | ELISA FCM IF IHC WB Иммуноферментный анализ; Проточная цитометрия; Иммунофлуоресценция; Иммуногистохимия; Вестерн-блоттинг |
| Рекомендуемые разведения | ELISA: 1:10000, FCM: 1:200-1:400, IF: 1:50-1:200, IHC: 1:200-1:1000, WB: 1:500-1:2000 |
| Метод очистки | Очистка с белками A/G из супернатанта клеточной культуры |
| Чистота | >95% |
| Состав буфера | 0.01M PBS, pH 7.4, 0.05% натрия азид |
| Условия хранения | Хранить при 4°C не более 1-2 недель. Хранить при -20°C - 12 месяцев |
| Срок хранения | 12 месяцев |
| Производитель | AntibodySystem |
| Ссылка на страницу товара на сайте производителя | https://www.antibodysystem.com/product/35565.html |
|
Артикул
|
Наименование |
Производитель
|
|---|
|
Артикул
|
Наименование |
Производитель
|
|---|
|
Артикул
|
Наименование |
Производитель
|
|---|
Акции и предложения
Популярные продукты:
Anti-CADM1/SynCAM1 Polyclonal Antibody (PHN06201)
Источник (хозяин): кролик
Реактивность подтвержденная: человек, мышь
Валидировано для: ELISA, IF, IHC, WB
Реактивность подтвержденная: человек, мышь
Валидировано для: ELISA, IF, IHC, WB
ELISA Kit DIY Materials for Dystrophin (DMD) (KSB503Hu01)
Организм: человек
Диапазон определения: 0.156-10 нг/мл
Чувствительность: 0.059 нг/мл
Диапазон определения: 0.156-10 нг/мл
Чувствительность: 0.059 нг/мл
Rat Pentraxin3/TSG14 ELISA kit (E02P0112)
Организм: крыса
Диапазон определения: 0.5-10 нг/мл
Чувствительность: 0.1 нг/мл
Диапазон определения: 0.5-10 нг/мл
Чувствительность: 0.1 нг/мл
Chicken AP 1 complex subunit sigma 2(AP1S2) ELISA kit (E12A1560)
Организм: курица
Human Anoctamin 3(ANO3) ELISA kit (E01A1529)
Организм: человек
Диапазон определения: 0.5-10 нг/мл
Чувствительность: 0.1 нг/мл
Диапазон определения: 0.5-10 нг/мл
Чувствительность: 0.1 нг/мл
Sheep Galanin Receptor 2 ELISA kit (E14G0078)
Организм: овца

