| UNIPROT | P07900 |
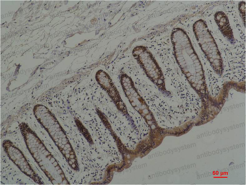
Anti-HSP90AA1 Antibody (R3A37) (RHC28105)
Реактивность подтвержденная:
человек, мышь, крыса
Источник (хозяин):
мышь
Валидировано для:
IHC
WB
Характеристики
Техническое описание
| Русское название | RHC28105 Моноклональное антитело к HSP90AA1 (R3A37) <AntibodySystem,Китай> |
| Каталожный номер | RHC28105 |
| Название антигена | Heat Shock Protein 90kDa Alpha A1 (HSP90aA1) |
| UNIPROT | P07900 |
| Английские синонимы | HSP86, HSP90A, HSP90N, HSPC1, HSPCA, HSPCAL1, HSPCAL4, HSPN, Hsp89, Hsp90, LAP2, Lipopolysaccharide-associated protein 2, Renal carcinoma antigen NY-REN-38 |
Реактивность подтвержденная Нужна другая реактивность? |
человек, мышь, крыса |
| Источник (хозяин) | мышь |
| Изотип | IgG1 |
| Клональность | моноклональное |
| Клон | R3A37 |
| Рекомбинантное | да |
| Готовое к использованию | нет |
| Концентрация | 1 мг/мл |
| Конъюгат | нет |
| Валидировано для | IHC WB Иммуногистохимия; Вестерн-блоттинг |
| Рекомендуемые разведения | IHC: 1:50-1:100, WB: 1:500-1:1000 |
| Метод очистки | Очистка с белками A/G из супернатанта клеточной культуры |
| Чистота | >95% |
| Состав буфера | 0.01M PBS, pH 7.4, 0.5% БСА, 0.05% натрия азид,50% глицерин |
| Условия доставки | термобокс с аккумуляторами холода |
| Условия хранения | Хранить при 4°C не более 1-2 недель. Хранить при -20°C - 12 месяцев |
| Срок хранения | 12 месяцев |
| Производитель | AntibodySystem |
| Ссылка на страницу товара на сайте производителя | https://www.antibodysystem.com/product/34719.html |
|
Артикул
|
Наименование |
Производитель
|
|---|
|
Артикул
|
Наименование |
Производитель
|
|---|
|
Артикул
|
Наименование |
Производитель
|
|---|
|
Артикул
|
Наименование |
Производитель
|
|---|
|
Артикул
|
Наименование |
Производитель
|
|---|
|
Артикул
|
Наименование |
Производитель
|
|---|
Акции и предложения
Популярные продукты:
Rabbit Glycerol Arachidonic Acid ELISA kit (E04G0578)
Организм: кролик
Recombinant Human AR/Androgen receptor Protein, N-His (YHC80302)
Источник (хозяин): E.coli
Организм: человек
Фрагмент: Met1-Thr559
Теги: N-His
Биоактивность: нет
Организм: человек
Фрагмент: Met1-Thr559
Теги: N-His
Биоактивность: нет
Anti-HSP90AA1 Antibody (R3A37) (RHC28105)
Источник (хозяин): мышь
Реактивность подтвержденная: человек, мышь, крыса
Валидировано для: IHC, WB
Реактивность подтвержденная: человек, мышь, крыса
Валидировано для: IHC, WB
LIN7A Polyclonal Antibody (E-AB-91128)
Источник (хозяин): кролик
Реактивность подтвержденная: человек, мышь, крыса
Валидировано для: WB
Реактивность подтвержденная: человек, мышь, крыса
Валидировано для: WB
c Abl Antibody (AF6038)
Источник (хозяин): кролик
Реактивность подтвержденная: человек, мышь, крыса, обезьяна
Валидировано для: WB, IF, ICC
Реактивность подтвержденная: человек, мышь, крыса, обезьяна
Валидировано для: WB, IF, ICC
PDPK1 Antibody (AF6018)
Источник (хозяин): кролик
Реактивность подтвержденная: человек, мышь, крыса
Валидировано для: IHC, WB, IF, ICC
Реактивность подтвержденная: человек, мышь, крыса
Валидировано для: IHC, WB, IF, ICC

