| UNIPROT | P08238 |
Anti-HSP90AB1 Antibody (R3A63) (RHC31803)
Реактивность подтвержденная:
человек, мышь, крыса, обезьяна
Источник (хозяин):
мышь
Валидировано для:
ELISA
IHC
WB
Характеристики
Техническое описание
| Русское название | RHC31803 Моноклональное антитело к HSP90AB1 (R3A63) <AntibodySystem,Китай> |
| Каталожный номер | RHC31803 |
| Название антигена | Heat Shock Protein 90kDa Alpha B1 (HSP90aB1) |
| UNIPROT | P08238 |
| Английские синонимы | HSP90-BETA, HSP90B, HSPC2, HSPCB, HSP84, Heat Shock 90kD Protein 1,Beta, Heat shock 84 kDa |
Реактивность подтвержденная Нужна другая реактивность? |
человек, мышь, крыса, обезьяна |
| Источник (хозяин) | мышь |
| Изотип | IgG1 |
| Клональность | моноклональное |
| Клон | R3A63 |
| Рекомбинантное | да |
| Готовое к использованию | нет |
| Концентрация | 1 мг/мл |
| Конъюгат | нет |
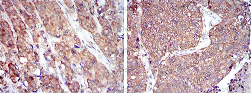
| Валидировано для | ELISA IHC WB Иммуноферментный анализ; Иммуногистохимия; Вестерн-блоттинг |
| Рекомендуемые разведения | ELISA: 1:10000, IHC: 1:200-1:1000, WB: 1:500-1:2000 |
| Метод очистки | Очистка с белками A/G из супернатанта клеточной культуры |
| Чистота | >95% |
| Состав буфера | 0.01M PBS, pH 7.4, 0.05% натрия азид |
| Условия доставки | термобокс с аккумуляторами холода |
| Условия хранения | Хранить при 4°C не более 1-2 недель. Хранить при -20°C - 12 месяцев |
| Срок хранения | 12 месяцев |
| Производитель | AntibodySystem |
| Ссылка на страницу товара на сайте производителя | https://www.antibodysystem.com/product/34745.html |
|
Артикул
|
Наименование |
Производитель
|
|---|
|
Артикул
|
Наименование |
Производитель
|
|---|
|
Артикул
|
Наименование |
Производитель
|
|---|
|
Артикул
|
Наименование |
Производитель
|
|---|
|
Артикул
|
Наименование |
Производитель
|
|---|
|
Артикул
|
Наименование |
Производитель
|
|---|
Акции и предложения
Популярные продукты:
Monoclonal Antibody to Karyopherin Alpha 2 (KPNa2) (MAE748Hu29)
Источник (хозяин): мышь
Реактивность подтвержденная: человек
Валидировано для: ICC, IF
Реактивность подтвержденная: человек
Валидировано для: ICC, IF
Human IgM Isotype Control Antibody (SPE-7), PE (FHJ93222)
Источник (хозяин): человек
Валидировано для: CTRL, FCM
Валидировано для: CTRL, FCM
Anti-HSP90AB1 Antibody (R3A63) (RHC31803)
Источник (хозяин): мышь
Реактивность подтвержденная: человек, мышь, крыса, обезьяна
Валидировано для: ELISA, IHC, WB
Реактивность подтвержденная: человек, мышь, крыса, обезьяна
Валидировано для: ELISA, IHC, WB
PCGF2 Polyclonal Antibody (E-AB-91764)
Источник (хозяин): кролик
Реактивность подтвержденная: человек, крыса
Валидировано для: WB
Реактивность подтвержденная: человек, крыса
Валидировано для: WB
Ammonia Colorimetric Assay Kit (E-BC-K777-M)
Организм: для всех
Диапазон определения: 0.01-2.00 ммоль/л
Чувствительность: 0.01 ммоль/л
Диапазон определения: 0.01-2.00 ммоль/л
Чувствительность: 0.01 ммоль/л

