| UNIPROT | P54652 |
Anti-HSPA2 Antibody (R3N20) (RHF04103)
Реактивность подтвержденная:
человек
Источник (хозяин):
мышь
Валидировано для:
IHC
Характеристики
Техническое описание
| Русское название | RHF04103 Моноклональное антитело к HSPA2 (R3N20) <AntibodySystem,Китай> |
| Каталожный номер | RHF04103 |
| Название антигена | Heat Shock 70kDa Protein 2 (HSPA2) |
| UNIPROT | P54652 |
| Английские синонимы | HSP-A2, Heat shock-related 70 kDa protein 2 |
Реактивность подтвержденная Нужна другая реактивность? |
человек |
| Источник (хозяин) | мышь |
| Изотип | IgG1 |
| Клональность | моноклональное |
| Клон | R3N20 |
| Рекомбинантное | да |
| Готовое к использованию | нет |
| Концентрация | 1 мг/мл |
| Конъюгат | нет |
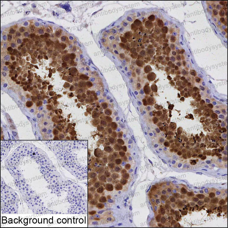
| Валидировано для | IHC Иммуногистохимия |
| Рекомендуемые разведения | IHC: 1:25-1:200 |
| Метод очистки | Очистка с белками A/G из супернатанта клеточной культуры |
| Чистота | >95% |
| Состав буфера | 0.01M PBS, pH 7.4, 0.05% натрия азид |
| Условия хранения | Хранить при 4°C не более 1-2 недель. Хранить при -20°C - 12 месяцев |
| Срок хранения | 12 месяцев |
| Производитель | AntibodySystem |
| Ссылка на страницу товара на сайте производителя | https://www.antibodysystem.com/product/35890.html |
|
Артикул
|
Наименование |
Производитель
|
|---|
|
Артикул
|
Наименование |
Производитель
|
|---|
|
Артикул
|
Наименование |
Производитель
|
|---|
|
Артикул
|
Наименование |
Производитель
|
|---|
|
Артикул
|
Наименование |
Производитель
|
|---|
Акции и предложения
Популярные продукты:
Guinea Pig Autoimmune Regulator ELISA kit (E05A0527)
Организм: морская свинка
Canine Arginine Vasopressin Receptor 1A ELISA kit (E08A0412)
Организм: собака
Chicken cytokein 19,CK 19 ELISA kit (E12C2329)
Организм: курица
Recombinant Mouse IFNAR1 Protein, N-His (YMD23001)
Источник (хозяин): E.coli
Организм: мышь
Фрагмент: Asp36-Ile432
Теги: N-His
Биоактивность: нет
Организм: мышь
Фрагмент: Asp36-Ile432
Теги: N-His
Биоактивность: нет
Recombinant Human TAP1 Protein, N-His (YHF99501)
Источник (хозяин): E.coli
Организм: человек
Фрагмент: Tyr525-Glu808
Теги: N-His
Биоактивность: нет
Организм: человек
Фрагмент: Tyr525-Glu808
Теги: N-His
Биоактивность: нет
Recombinant Human SNCG Protein, N-GST (YHB40501)
Источник (хозяин): E.coli
Организм: человек
Фрагмент: Met1-Ala122
Теги: N-GST
Биоактивность: нет
Организм: человек
Фрагмент: Met1-Ala122
Теги: N-GST
Биоактивность: нет

