| UNIPROT | P34932 |
Anti-HSPA4/HSP70 Antibody (R3J61) (RHE05804)
Реактивность подтвержденная:
человек, мышь, крыса, обезьяна
Источник (хозяин):
мышь
Валидировано для:
ELISA
FCM
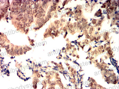
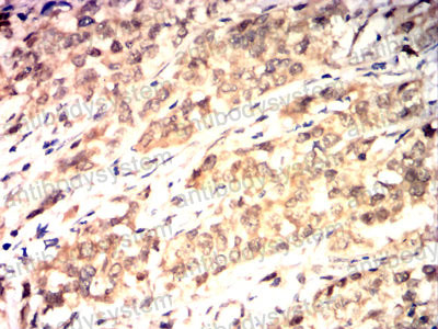
IHC
WB
Характеристики
Техническое описание
| Русское название | RHE05804 Моноклональное антитело к HSPA4/HSP70 (R3J61) <AntibodySystem,Китай> |
| Каталожный номер | RHE05804 |
| Название антигена | Heat Shock 70kDa Protein 4 (HSPA4) |
| UNIPROT | P34932 |
| Английские синонимы | HSP-A4, APG2, HS24/P52, RY, Hsp70, Hsp70RY, Heat shock 70-related protein APG-2 |
Реактивность подтвержденная Нужна другая реактивность? |
человек, мышь, крыса, обезьяна |
| Источник (хозяин) | мышь |
| Изотип | IgG2b |
| Клональность | моноклональное |
| Клон | R3J61 |
| Рекомбинантное | да |
| Готовое к использованию | нет |
| Концентрация | 1 мг/мл |
| Конъюгат | нет |
| Валидировано для | ELISA FCM IHC WB Иммуноферментный анализ; Проточная цитометрия; Иммуногистохимия; Вестерн-блоттинг |
| Рекомендуемые разведения | ELISA: 1:10000, FCM: 1:200-1:400, IHC: 1:200-1:1000, WB: 1:500-1:2000 |
| Метод очистки | Очистка с белками A/G из супернатанта клеточной культуры |
| Чистота | >95% |
| Состав буфера | 0.01M PBS, pH 7.4, 0.05% натрия азид |
| Условия хранения | Хранить при 4°C не более 1-2 недель. Хранить при -20°C - 12 месяцев |
| Срок хранения | 12 месяцев |
| Производитель | AntibodySystem |
| Ссылка на страницу товара на сайте производителя | https://www.antibodysystem.com/product/35535.html |
|
Артикул
|
Наименование |
Производитель
|
|---|
|
Артикул
|
Наименование |
Производитель
|
|---|
|
Артикул
|
Наименование |
Производитель
|
|---|
Акции и предложения
Популярные продукты:
Anti-Progesterone/P Monoclonal Antibody (1A477) (MGK61501)
Источник (хозяин): мышь
Реактивность подтвержденная: для всех
Валидировано для: ELISA
Реактивность подтвержденная: для всех
Валидировано для: ELISA
Human Concanavalin A ELISA kit (E01C0795)
Организм: человек
Диапазон определения: 0.5-10 нг/мл
Чувствительность: 0.1 нг/мл
Диапазон определения: 0.5-10 нг/мл
Чувствительность: 0.1 нг/мл
Anti-Human CHAF1A Polyclonal Antibody (PHG40501)
Источник (хозяин): кролик
Реактивность подтвержденная: человек
Валидировано для: ELISA, IHC, WB
Реактивность подтвержденная: человек
Валидировано для: ELISA, IHC, WB
Recombinant Human ZBTB18 Protein, N-His (YHK75601)
Источник (хозяин): E.coli
Организм: человек
Фрагмент: Met1-Thr128
Теги: N-His
Биоактивность: нет
Организм: человек
Фрагмент: Met1-Thr128
Теги: N-His
Биоактивность: нет

