| UNIPROT | P38646 |
Anti-HSPA9/Mortalin/GRP75 Antibody (R3K15) (RHE23203)
Реактивность подтвержденная:
человек, мышь, крыса, обезьяна
Источник (хозяин):
мышь
Валидировано для:
ELISA
FCM
IF
IHC
WB
Характеристики
Техническое описание
| Русское название | RHE23203 Моноклональное антитело к HSPA9/морталину/GRP75 (R3K15) <AntibodySystem,Китай> |
| Каталожный номер | RHE23203 |
| Название антигена | Heat Shock 70kDa Protein 9 (HSPA9) |
| UNIPROT | P38646 |
| Английские синонимы | CSA, GRP75, HSPA9B, MOT, MOT2, MTHSP75, PBP74, Mot-2, Stress-70 Protein,Mitochondrial, Mortalin,Perinuclear, 75 kDa glucose-regulated protein, Peptide-binding protein 74 |
Реактивность подтвержденная Нужна другая реактивность? |
человек, мышь, крыса, обезьяна |
| Источник (хозяин) | мышь |
| Изотип | IgG2a |
| Клональность | моноклональное |
| Клон | R3K15 |
| Рекомбинантное | да |
| Готовое к использованию | нет |
| Концентрация | 1 мг/мл |
| Конъюгат | нет |
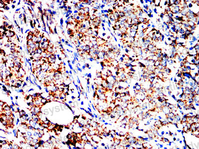
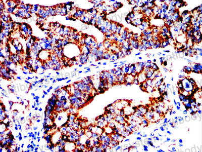
| Валидировано для | ELISA FCM IF IHC WB Иммуноферментный анализ; Проточная цитометрия; Иммунофлуоресценция; Иммуногистохимия; Вестерн-блоттинг |
| Рекомендуемые разведения | ELISA: 1:10000, FCM: 1:200-1:400, IF: 1:200-1:1000, IHC: 1:200-1:1000, WB: 1:500-1:2000 |
| Метод очистки | Очистка с белками A/G из супернатанта клеточной культуры |
| Чистота | >95% |
| Состав буфера | 0.01M PBS, pH 7.4, 0.05% натрия азид |
| Условия хранения | Хранить при 4°C не более 1-2 недель. Хранить при -20°C - 12 месяцев |
| Срок хранения | 12 месяцев |
| Производитель | AntibodySystem |
| Ссылка на страницу товара на сайте производителя | https://www.antibodysystem.com/product/35588.html |
|
Артикул
|
Наименование |
Производитель
|
|---|
|
Артикул
|
Наименование |
Производитель
|
|---|
|
Артикул
|
Наименование |
Производитель
|
|---|
|
Артикул
|
Наименование |
Производитель
|
|---|
Акции и предложения
Популярные продукты:
Anti-Influenza A virus (H5N1) HA/Hemagglutinin Antibody (D04) (VVV03811)
Источник (хозяин): человек
Реактивность подтвержденная: вирусы
Валидировано для: ELISA, NEUT
Реактивность подтвержденная: вирусы
Валидировано для: ELISA, NEUT
Mouse ACTH ELISA Kit (KMK28601)
Организм: мышь
Histone Deacetylase (HDAC) Activity Fluorometric Assay Kit (E-BC-F051)
Организм: для всех
Диапазон определения: 0.019 Ед/л
Чувствительность: 0.019-1.027 Ед/л
Диапазон определения: 0.019 Ед/л
Чувствительность: 0.019-1.027 Ед/л
Guinea Pig Angiotensin 3 ELISA kit (E05A0205)
Организм: морская свинка
Monkey Aryl hydrocarbon receptor repressor(AHRR) ELISA kit (E09A1334)
Организм: обезьяна

