| UNIPROT | P0CG04 |
Anti-Human Lambda Light Chain Antibody (R4A18) (RHN51901)
Реактивность подтвержденная:
человек
Источник (хозяин):
мышь
Валидировано для:
IHC
Характеристики
Техническое описание
| Русское название | RHN51901 Моноклональное антитело к лямбда-легкой цепи (R4A18) (человек) <AntibodySystem,Китай> |
| Каталожный номер | RHN51901 |
| Название антигена | Immunoglobulin lambda constant 1 (IGLC1) |
| UNIPROT | P0CG04 |
| Английские синонимы | Ig lambda chain C region MGC; Ig lambda-1 chain C region |
Реактивность подтвержденная Нужна другая реактивность? |
человек |
| Источник (хозяин) | мышь |
| Изотип | IgG1 |
| Клональность | моноклональное |
| Клон | R4A18 |
| Рекомбинантное | да |
| Готовое к использованию | нет |
| Концентрация | 1 мг/мл |
| Конъюгат | нет |
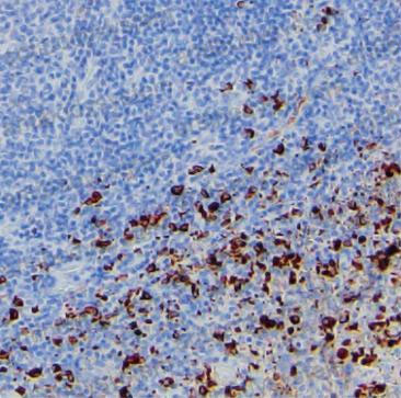
| Валидировано для | IHC Иммуногистохимия |
| Рекомендуемые разведения | IHC: 1:500 |
| Метод очистки | Очистка с белками A/G из супернатанта клеточной культуры |
| Чистота | >95% |
| Состав буфера | 0.01M PBS, pH 7.4, 0.05% натрия азид |
| Условия хранения | Хранить при 4°C не более 1-2 недель. Хранить при -20°C - 12 месяцев |
| Срок хранения | 12 месяцев |
| Производитель | AntibodySystem |
| Ссылка на страницу товара на сайте производителя | https://www.antibodysystem.com/product/37075.html |
|
Артикул
|
Наименование |
Производитель
|
|---|
|
Артикул
|
Наименование |
Производитель
|
|---|
Акции и предложения
Популярные продукты:
Sheep β chimaerin(CHN2) ELISA kit (E14B0885)
Организм: овца
Rat β chimaerin(CHN2) ELISA kit (E02B0885)
Организм: крыса
Rat Chemokine C X C Motif Receptor 4 ELISA kit (E02C0857)
Организм: крыса
Recombinant Human TOM1 Protein, N-His (YHB00601)
Источник (хозяин): E.coli
Организм: человек
Фрагмент: Met1-Gly148
Теги: N-His
Биоактивность: нет
Организм: человек
Фрагмент: Met1-Gly148
Теги: N-His
Биоактивность: нет
Recombinant Human PTK7/CCK-4 Protein, C-His (EHG47801)
Источник (хозяин): клетки млекопитающих
Организм: человек
Фрагмент: Met1-Thr704
Теги: C-His
Биоактивность: нет
Организм: человек
Фрагмент: Met1-Thr704
Теги: C-His
Биоактивность: нет
Recombinant Human JUN Protein, N-His (YHC16502)
Источник (хозяин): E.coli
Организм: человек
Фрагмент: Met1-Phe331
Теги: N-His
Биоактивность: нет
Организм: человек
Фрагмент: Met1-Phe331
Теги: N-His
Биоактивность: нет

