| UNIPROT | P41134 |
Anti-ID1 Antibody (R1A41) (RHE29001)
Реактивность подтвержденная:
человек, мышь, крыса
Источник (хозяин):
кролик
Валидировано для:
FCM
IF
IHC
WB
Характеристики
Техническое описание
| Русское название | RHE29001 Моноклональное антитело к ID1 (R1A41) <AntibodySystem,Китай> |
| Каталожный номер | RHE29001 |
| Название антигена | Inhibitor of DNA Binding Protein 1 (ID1) |
| UNIPROT | P41134 |
| Английские синонимы | BHLHB24, Class B basic helix-loop-helix protein 24, Inhibitor of differentiation 1, DNA-Binding Protein Inhibitor ID-1,Dominant Negative Helix-Loop-Helix Protein |
Реактивность подтвержденная Нужна другая реактивность? |
человек, мышь, крыса |
| Источник (хозяин) | кролик |
| Изотип | IgG |
| Клональность | моноклональное |
| Клон | R1A41 |
| Рекомбинантное | да |
| Готовое к использованию | нет |
| Концентрация | 1 мг/мл |
| Конъюгат | нет |
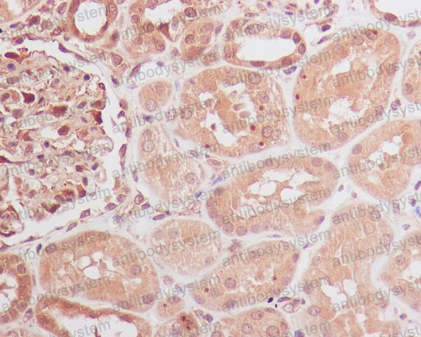
| Валидировано для | FCM IF IHC WB Проточная цитометрия; Иммунофлуоресценция; Иммуногистохимия; Вестерн-блоттинг |
| Рекомендуемые разведения | FCM: 1:20-1:100, IF: 1:50-1:200, IHC: 1:100-1:200, WB: 1:1000-1:2000 |
| Метод очистки | Очистка с белками A/G из супернатанта клеточной культуры |
| Чистота | >95% |
| Состав буфера | 0.01M PBS, pH 7.4, 0.05% БСА, 50% глицерин, 0.05% азид натрия |
| Условия доставки | термобокс с аккумуляторами холода |
| Условия хранения | Хранить при -20 С -12 месяцев |
| Срок хранения | 12 месяцев |
| Производитель | AntibodySystem |
| Ссылка на страницу товара на сайте производителя | https://www.antibodysystem.com/product/29647.html |
|
Артикул
|
Наименование |
Производитель
|
|---|
Акции и предложения
Популярные продукты:
ELISA Kit DIY Materials for Regucalcin (RGN) (KSC765Hu01)
Организм: человек
Диапазон определения: 0.312-20 нг/мл
Чувствительность: 0.117 нг/мл
Диапазон определения: 0.312-20 нг/мл
Чувствительность: 0.117 нг/мл
Canine Cancer/testis antigen 2(CTAG2) ELISA kit (E08C2141)
Организм: собака
Rabbit Anti Glutamate Receptor 1 Antibody ELISA kit (E04A0633)
Организм: кролик
Bovine Regucalcin(RGN) ELISA kit (E11R0407)
Организм: корова
Rabbit Small heterodimer partner ELISA kit (E04S0237)
Организм: кролик

