| UNIPROT | Q02535 |
Anti-ID3 Antibody (R3Q61) (RHF94401)
Реактивность подтвержденная:
человек, крыса
Источник (хозяин):
мышь
Валидировано для:
ELISA
FCM
IHC
Характеристики
Техническое описание
| Русское название | RHF94401 Моноклональное антитело к ID3 (R3Q61) <AntibodySystem,Китай> |
| Каталожный номер | RHF94401 |
| Название антигена | Inhibitor of DNA Binding Protein 3 (ID3) |
| UNIPROT | Q02535 |
| Английские синонимы | HEIR-1, 1R21, BHLHB25, DNA-Binding Protein Inhibitor ID-3,Dominant Negative Helix-Loop-Helix Protein, Class B basic helix-loop-helix protein 25, Inhibitor of differentiation 3 |
Реактивность подтвержденная Нужна другая реактивность? |
человек, крыса |
| Источник (хозяин) | мышь |
| Изотип | IgG1 |
| Клональность | моноклональное |
| Клон | R3Q61 |
| Рекомбинантное | да |
| Готовое к использованию | нет |
| Концентрация | 1 мг/мл |
| Конъюгат | нет |
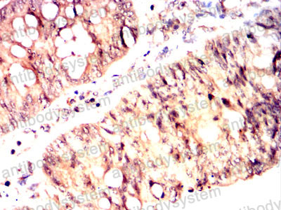
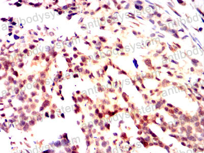
| Валидировано для | ELISA FCM IHC Иммуноферментный анализ; Проточная цитометрия; Иммуногистохимия |
| Рекомендуемые разведения | ELISA: 1:10000, FCM: 1:200-1:400, IHC: 1:200-1:1000 |
| Метод очистки | Очистка с белками A/G из супернатанта клеточной культуры |
| Чистота | >95% |
| Состав буфера | 0.01M PBS, pH 7.4, 0.05% натрия азид |
| Условия хранения | Хранить при 4°C не более 1-2 недель. Хранить при -20°C - 12 месяцев |
| Срок хранения | 12 месяцев |
| Производитель | AntibodySystem |
| Ссылка на страницу товара на сайте производителя | https://www.antibodysystem.com/product/36129.html |
|
Артикул
|
Наименование |
Производитель
|
|---|
|
Артикул
|
Наименование |
Производитель
|
|---|
Акции и предложения
Популярные продукты:
P Glycoprotein 1 (MDR1) Mouse Monoclonal Antibody (BF8972)
Источник (хозяин): мышь
Реактивность подтвержденная: человек
Валидировано для: WB
Реактивность подтвержденная: человек
Валидировано для: WB
Bovine ATP dependent RNA helicase DDX18(DDX18) ELISA kit (E11A1826)
Организм: корова
Bovine Carbohyde sulfotransferase 2(CHST2) ELISA kit (E11C1709)
Организм: корова
Bovine Aspartyl/asparaginyl β hydroxylase(ASPH) ELISA kit (E11A1727)
Организм: корова

