| UNIPROT | O00458 |
Anti-IFRD1 Antibody (R2T50) (RHA12202)
Реактивность подтвержденная:
человек
Источник (хозяин):
мышь
Валидировано для:
IHC
Характеристики
Техническое описание
| Русское название | RHA12202 Моноклональное антитело к IFRD1 (R2T50) <AntibodySystem,Китай> |
| Каталожный номер | RHA12202 |
| Название антигена | Interferon Related Developmental Regulator 1 (IFRD1) |
| UNIPROT | O00458 |
| Английские синонимы | PC4, TIS7, Nerve growth factor-inducible protein PC4 |
Реактивность подтвержденная Нужна другая реактивность? |
человек |
| Источник (хозяин) | мышь |
| Изотип | IgG2a |
| Клональность | моноклональное |
| Клон | R2T50 |
| Рекомбинантное | да |
| Готовое к использованию | нет |
| Концентрация | 1 мг/мл |
| Конъюгат | нет |
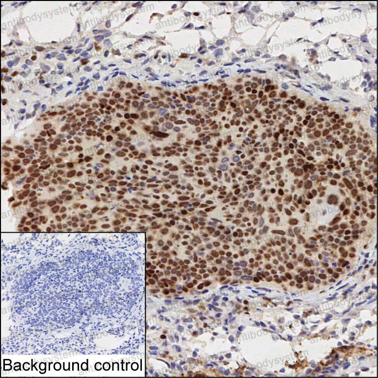
| Валидировано для | IHC Иммуногистохимия |
| Рекомендуемые разведения | IHC: 1:100-1:200 |
| Метод очистки | Очистка с белками A/G из супернатанта клеточной культуры |
| Чистота | >95% |
| Состав буфера | 0.01M PBS, pH 7.4, 0.05% натрия азид |
| Условия доставки | термобокс с аккумуляторами холода |
| Условия хранения | Хранить при 4°C не более 1-2 недель. Хранить при -20°C - 12 месяцев |
| Срок хранения | 12 месяцев |
| Производитель | AntibodySystem |
| Ссылка на страницу товара на сайте производителя | https://www.antibodysystem.com/product/34039.html |
|
Артикул
|
Наименование |
Производитель
|
|---|
|
Артикул
|
Наименование |
Производитель
|
|---|
|
Артикул
|
Наименование |
Производитель
|
|---|
Акции и предложения
Популярные продукты:
Rabbit β adducin(ADD2) ELISA kit (E04B0727)
Организм: кролик
Bovine Immunoglobulin D ELISA kit (E11I0059)
Организм: корова
Rabbit Cutaneous T Cell Attracting Chemokine ELISA kit (E04C0595)
Организм: кролик
Anti-Human LTF/Lactotransferrin Monoclonal Antibody (1A315) (MHC02203)
Источник (хозяин): мышь
Реактивность подтвержденная: человек
Реактивность подтвержденная: человек
Anti-IFRD1 Antibody (R2T50) (RHA12202)
Источник (хозяин): мышь
Реактивность подтвержденная: человек
Валидировано для: IHC
Реактивность подтвержденная: человек
Валидировано для: IHC
Anti-Human CD79β/CD79B Antibody (SAA0035) (FHE26310)
Источник (хозяин): человек
Реактивность подтвержденная: человек
Валидировано для: FCM
Реактивность подтвержденная: человек
Валидировано для: FCM

