| UNIPROT | P05019 |
Anti-IGF1 Antibody (R2Y91) (RHC12002)
Реактивность подтвержденная:
человек
Источник (хозяин):
мышь
Валидировано для:
IHC
Характеристики
Техническое описание
| Русское название | RHC12002 Моноклональное антитело к IGF1 (R2Y91) <AntibodySystem,Китай> |
| Каталожный номер | RHC12002 |
| Название антигена | Insulin Like Growth Factor 1 (IGF1) |
| UNIPROT | P05019 |
| Английские синонимы | IGFI, IGF1A, IBP1, MGF, Somatomedin C, Mechano Growth Gactor, IGF-1 |
| Русские синонимы | ИФР-1, соматомедин С |
Реактивность подтвержденная Нужна другая реактивность? |
человек |
| Источник (хозяин) | мышь |
| Изотип | IgG1 |
| Клональность | моноклональное |
| Клон | R2Y91 |
| Рекомбинантное | да |
| Готовое к использованию | нет |
| Концентрация | 1 мг/мл |
| Конъюгат | нет |
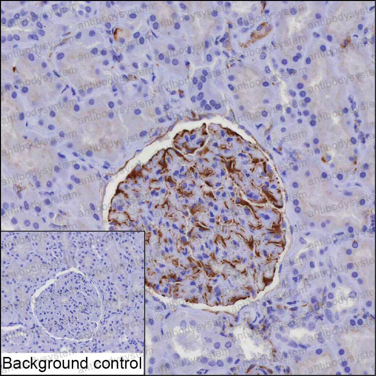
| Валидировано для | IHC Иммуногистохимия |
| Рекомендуемые разведения | IHC: 1:100-1:200 |
| Метод очистки | Очистка с белками A/G из супернатанта клеточной культуры |
| Чистота | >95% |
| Состав буфера | 0.01M PBS, pH 7.4, 0.05% натрия азид |
| Условия доставки | термобокс с аккумуляторами холода |
| Условия хранения | Хранить при 4°C не более 1-2 недель. Хранить при -20°C - 12 месяцев |
| Срок хранения | 12 месяцев |
| Производитель | AntibodySystem |
| Ссылка на страницу товара на сайте производителя | https://www.antibodysystem.com/product/34575.html |
|
Артикул
|
Наименование |
Производитель
|
|---|
|
Артикул
|
Наименование |
Производитель
|
|---|
|
Артикул
|
Наименование |
Производитель
|
|---|
|
Артикул
|
Наименование |
Производитель
|
|---|
|
Артикул
|
Наименование |
Производитель
|
|---|
|
Артикул
|
Наименование |
Производитель
|
|---|
|
Артикул
|
Наименование |
Производитель
|
|---|
|
Артикул
|
Наименование |
Производитель
|
|---|
|
Артикул
|
Наименование |
Производитель
|
|---|
|
Артикул
|
Наименование |
Производитель
|
|---|
|
Артикул
|
Наименование |
Производитель
|
|---|
|
Артикул
|
Наименование |
Производитель
|
|---|
Акции и предложения
Популярные продукты:
Human Peroxiredoxin 3 ELISA kit (E01P1251)
Организм: человек
Bovine 5-hydroxytryptamine receptor 6 ELISA Kit (E11H1453)
Организм: корова
Human Complement component receptor 1 like protein ELISA kit (E01C2035)
Организм: человек
Chicken Glypican 6 ELISA kit (E12G0668)
Организм: курица
Sheep High Density Lipoprotein ELISA kit (E14H0211)
Организм: овца
Rabbit Ceruloplasmin ELISA kit (E04C0090)
Организм: кролик

