| UNIPROT | Q14116 |
Anti-IL18/IL1F4 Antibody (R2F18) (RHG70701)
Реактивность подтвержденная:
человек
Источник (хозяин):
кролик
Валидировано для:
IHC
WB
Характеристики
Техническое описание
| Русское название | RHG70701 Моноклональное антитело к IL18/IL1F4 (R2F18) <AntibodySystem,Китай> |
| Каталожный номер | RHG70701 |
| Название антигена | Interleukin 18 (IL18) |
| UNIPROT | Q14116 |
| Английские синонимы | IGIF, IL-1g, IL1F4, IL1-F4, Interferon-Gamma-Inducing Factor, Interleukin-1 Family Member 4, Iboctadekin, Interleukin-1 Gamma, IL-18 |
| Русские синонимы | ИЛ18, ИЛ-18 |
Реактивность подтвержденная Нужна другая реактивность? |
человек |
| Источник (хозяин) | кролик |
| Изотип | IgG |
| Клональность | моноклональное |
| Клон | R2F18 |
| Рекомбинантное | да |
| Готовое к использованию | нет |
| Концентрация | 1 мг/мл |
| Конъюгат | нет |
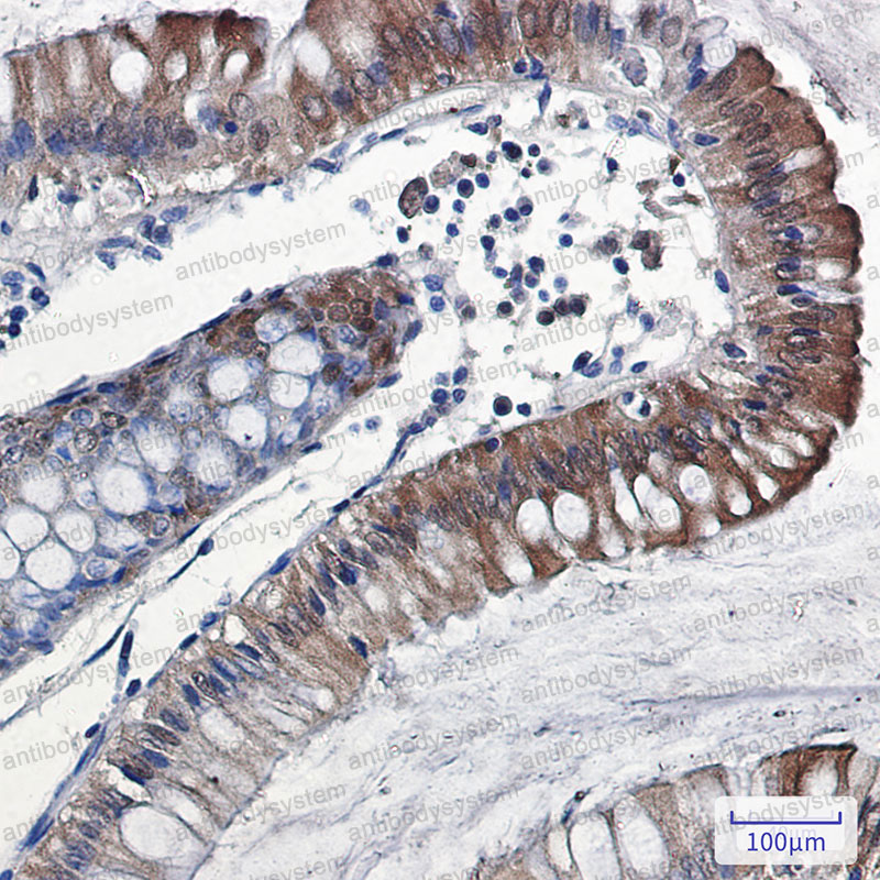
| Валидировано для | IHC WB Иммуногистохимия; Вестерн-блоттинг |
| Рекомендуемые разведения | IHC: 1:50-1:100, WB: 1:500-1:1000 |
| Метод очистки | Очистка с белками A/G из супернатанта клеточной культуры |
| Чистота | >95% |
| Состав буфера | 0.01M PBS, pH 7.4, 0.05% БСА, 50% глицерин, 0.05% азид натрия |
| Условия доставки | термобокс с аккумуляторами холода |
| Условия хранения | Хранить при -20 С -12 месяцев |
| Срок хранения | 12 месяцев |
| Производитель | AntibodySystem |
| Ссылка на страницу товара на сайте производителя | https://www.antibodysystem.com/product/32542.html |
|
Артикул
|
Наименование |
Производитель
|
|---|
|
Артикул
|
Наименование |
Производитель
|
|---|
|
Артикул
|
Наименование |
Производитель
|
|---|
|
Артикул
|
Наименование |
Производитель
|
|---|
|
Артикул
|
Наименование |
Производитель
|
|---|
|
Артикул
|
Наименование |
Производитель
|
|---|
|
Артикул
|
Наименование |
Производитель
|
|---|
|
Артикул
|
Наименование |
Производитель
|
|---|
|
Артикул
|
Наименование |
Производитель
|
|---|
|
Артикул
|
Наименование |
Производитель
|
|---|
|
Артикул
|
Наименование |
Производитель
|
|---|
Акции и предложения
Популярные продукты:
Rat Chimerin 1 ELISA kit (E02C2776)
Организм: крыса
Anti-Chicken Gal d4 Nanobody (SAb2330) (RHK81001)
Источник (хозяин): альпака
Реактивность подтвержденная: курица
Валидировано для: ELISA
Реактивность подтвержденная: курица
Валидировано для: ELISA
Anti-Arginyl tRNA Synthetase (RARS) Monoclonal Antibody (FAC997Hu02)
Источник (хозяин): мышь
Реактивность подтвержденная: человек
Валидировано для: FCM
Реактивность подтвержденная: человек
Валидировано для: FCM
ELISA Kit DIY Materials for Huntingtin (HTT) (KSH922Hu01)
Организм: человек
Диапазон определения: 0.156-10 нг/мл
Чувствительность: 0.063 нг/мл
Диапазон определения: 0.156-10 нг/мл
Чувствительность: 0.063 нг/мл
ELISA Kit DIY Materials for ATP Binding Cassette Transporter A1 (ABCA1) (KSB242Mu01)
Организм: мышь
Диапазон определения: 0.156-10 нг/мл
Чувствительность: 0.062 нг/мл
Диапазон определения: 0.156-10 нг/мл
Чувствительность: 0.062 нг/мл

