| UNIPROT | P01584 |
Anti-IL1B/IL1F2 Antibody (R2X48) (RHB95603)
Реактивность подтвержденная:
человек
Источник (хозяин):
мышь
Валидировано для:
ELISA
FCM
IF
IHC
Характеристики
Техническое описание
| Русское название | RHB95603 Моноклональное антитело к IL1B/IL1F2 (R2X48) <AntibodySystem,Китай> |
| Каталожный номер | RHB95603 |
| Название антигена | Interleukin 1 Beta (IL1b) |
| UNIPROT | P01584 |
| Английские синонимы | IL1-B, IL1-Beta, IL1F2, IL-1&beta, Interleukin-1 Family Member 2, Catabolin, Interleukin 1, Interleukin 1B, IL-1B, IL-1beta, IL1beta, IL 1b, IL-1 beta |
| Русские синонимы | ИЛ1 бета, ИЛ-1 бета, Интерлекин 1 бета |
Реактивность подтвержденная Нужна другая реактивность? |
человек |
| Источник (хозяин) | мышь |
| Изотип | IgG1 |
| Клональность | моноклональное |
| Клон | R2X48 |
| Рекомбинантное | да |
| Готовое к использованию | нет |
| Концентрация | 1 мг/мл |
| Конъюгат | нет |
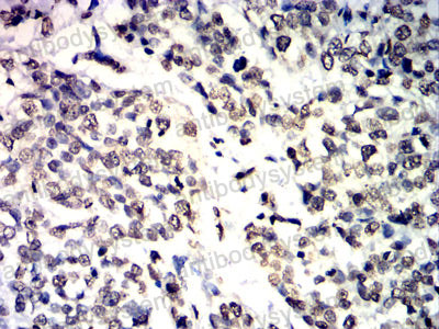
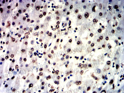
| Валидировано для | ELISA FCM IF IHC Иммуноферментный анализ; Проточная цитометрия; Иммунофлуоресценция; Иммуногистохимия |
| Рекомендуемые разведения | ELISA: 1:10000, FCM: 1:200-1:400, IF: 1:200-1:1000, IHC: 1:200-1:1000 |
| Метод очистки | Очистка с белками A/G из супернатанта клеточной культуры |
| Чистота | >95% |
| Состав буфера | 0.01M PBS, pH 7.4, 0.05% натрия азид |
| Условия доставки | термобокс с аккумуляторами холода |
| Условия хранения | Хранить при 4°C не более 1-2 недель. Хранить при -20°C - 12 месяцев |
| Срок хранения | 12 месяцев |
| Производитель | AntibodySystem |
| Ссылка на страницу товара на сайте производителя | https://www.antibodysystem.com/product/34433.html |
|
Артикул
|
Наименование |
Производитель
|
|---|
|
Артикул
|
Наименование |
Производитель
|
|---|
|
Артикул
|
Наименование |
Производитель
|
|---|
|
Артикул
|
Наименование |
Производитель
|
|---|
|
Артикул
|
Наименование |
Производитель
|
|---|
|
Артикул
|
Наименование |
Производитель
|
|---|
|
Артикул
|
Наименование |
Производитель
|
|---|
|
Артикул
|
Наименование |
Производитель
|
|---|
|
Артикул
|
Наименование |
Производитель
|
|---|
|
Артикул
|
Наименование |
Производитель
|
|---|
|
Артикул
|
Наименование |
Производитель
|
|---|
|
Артикул
|
Наименование |
Производитель
|
|---|
|
Артикул
|
Наименование |
Производитель
|
|---|
|
Артикул
|
Наименование |
Производитель
|
|---|
|
Артикул
|
Наименование |
Производитель
|
|---|
|
Артикул
|
Наименование |
Производитель
|
|---|
Акции и предложения
Популярные продукты:
Anti-Nivolumab Antibody (R4E02) (RAH02202)
Источник (хозяин): мышь
Реактивность подтвержденная: для всех
Валидировано для: ELISA
Реактивность подтвержденная: для всех
Валидировано для: ELISA
Canine Pregnancy Specific β1 Glycoprotein 1 ELISA kit (E08P0153)
Организм: собака
Recombinant Human SUMO3/SMT3A Protein (aa 2-92, His Tag) (PKSH033069)
Источник (хозяин): HEK293
Организм: человек
Фрагмент: Ser2-Gly92
Теги: C-His
Биоактивность: нет
Организм: человек
Фрагмент: Ser2-Gly92
Теги: C-His
Биоактивность: нет
Recombinant Mouse IL-1 beta/IL1B Protein (PKSM040957)
Источник (хозяин): E.coli
Организм: мышь
Фрагмент: Val 118-Ser 269
Теги: C-His
Биоактивность: да
Организм: мышь
Фрагмент: Val 118-Ser 269
Теги: C-His
Биоактивность: да

