| UNIPROT | P10914 |
Anti-IRF1 Antibody (R1C26) (RHC84401)
Реактивность подтвержденная:
человек, мышь, крыса
Источник (хозяин):
кролик
Валидировано для:
FCM
IF
IHC
IP
WB
Характеристики
Техническое описание
| Русское название | RHC84401 Моноклональное антитело к IRF1 (R1C26) <AntibodySystem,Китай> |
| Каталожный номер | RHC84401 |
| Название антигена | Interferon Regulatory Factor 1 (IRF1) |
| UNIPROT | P10914 |
| Английские синонимы | MAR |
Реактивность подтвержденная Нужна другая реактивность? |
человек, мышь, крыса |
| Источник (хозяин) | кролик |
| Изотип | IgG |
| Клональность | моноклональное |
| Клон | R1C26 |
| Рекомбинантное | да |
| Готовое к использованию | нет |
| Концентрация | 1 мг/мл |
| Конъюгат | нет |
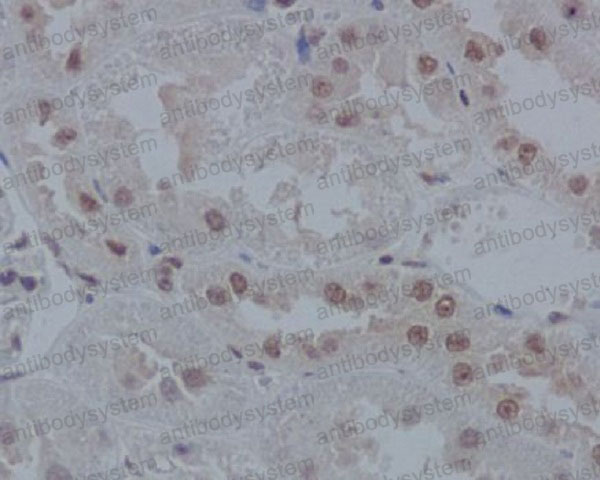
| Валидировано для | FCM IF IHC IP WB Проточная цитометрия; Иммунофлуоресценция; Иммуногистохимия; Иммунопреципитация; Вестерн-блоттинг |
| Рекомендуемые разведения | FCM: 1:20-1:100, IF: 1:50-1:200, IHC: 1:100-1:200, IP: 1:20-1:50, WB: 1:1000-1:2000 |
| Метод очистки | Очистка с белками A/G из супернатанта клеточной культуры |
| Чистота | >95% |
| Состав буфера | 0.01M PBS, pH 7.4, 0.05% БСА, 50% глицерин, 0.05% азид натрия |
| Условия доставки | термобокс с аккумуляторами холода |
| Условия хранения | Хранить при -20 С -12 месяцев |
| Срок хранения | 12 месяцев |
| Производитель | AntibodySystem |
| Ссылка на страницу товара на сайте производителя | https://www.antibodysystem.com/product/29830.html |
|
Артикул
|
Наименование |
Производитель
|
|---|
|
Артикул
|
Наименование |
Производитель
|
|---|
|
Артикул
|
Наименование |
Производитель
|
|---|
Акции и предложения
Популярные продукты:
ELISA Kit DIY Materials for Prokineticin 2 (PK2) (KSA115Hu11)
Организм: человек
Диапазон определения: 246.9-20000 пг/мл
Чувствительность: 90.9 пг/мл
Диапазон определения: 246.9-20000 пг/мл
Чувствительность: 90.9 пг/мл
Bovine Sentan(SNTN) ELISA kit (E11S0388)
Организм: корова
Canine 14-3-3 protein zeta/delta(YWHAZ) ELISA kit (E08Y0009)
Организм: собака
Goat Paired Box Gene 5 ELISA kit (E06P1023)
Организм: коза
Guinea Pig C Jun amino terminal kinase interacting protein 4(SPAG9) ELISA kit (E05C2446)
Организм: морская свинка

