| UNIPROT | P23458 |
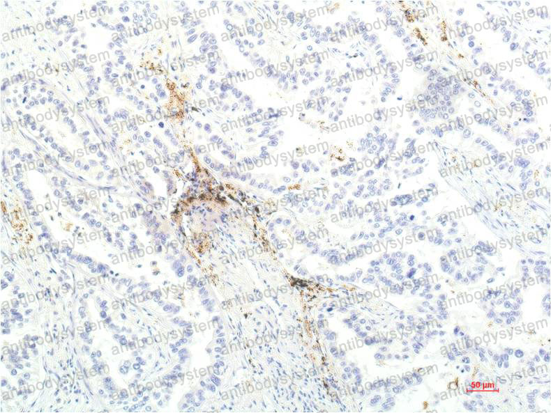
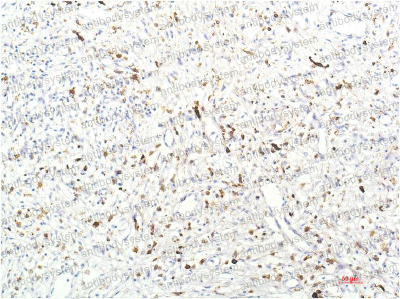
Anti-JAK1 Antibody (R3G34) (RHD57903)
Реактивность подтвержденная:
человек, мышь, крыса
Источник (хозяин):
мышь
Валидировано для:
IHC
Характеристики
Техническое описание
| Русское название | RHD57903 Моноклональное антитело к JAK1 (R3G34) <AntibodySystem,Китай> |
| Каталожный номер | RHD57903 |
| Название антигена | Janus Kinase 1 (JAK1) |
| UNIPROT | P23458 |
| Английские синонимы | JAK1A, JAK1B, JTK3, Tyrosine-protein kinase JAK1 |
| Русские синонимы | JAK1 |
Реактивность подтвержденная Нужна другая реактивность? |
человек, мышь, крыса |
| Источник (хозяин) | мышь |
| Изотип | IgG1 |
| Клональность | моноклональное |
| Клон | R3G34 |
| Рекомбинантное | да |
| Готовое к использованию | нет |
| Концентрация | 1 мг/мл |
| Конъюгат | нет |
| Валидировано для | IHC Иммуногистохимия |
| Рекомендуемые разведения | IHC: 1:50-1:100 |
| Метод очистки | Очистка с белками A/G из супернатанта клеточной культуры |
| Чистота | >95% |
| Состав буфера | 0.01M PBS, pH 7.4, 0.5% БСА, 0.05% натрия азид,50% глицерин |
| Условия хранения | Хранить при 4°C не более 1-2 недель. Хранить при -20°C - 12 месяцев |
| Срок хранения | 12 месяцев |
| Производитель | AntibodySystem |
| Ссылка на страницу товара на сайте производителя | https://www.antibodysystem.com/product/35310.html |
|
Артикул
|
Наименование |
Производитель
|
|---|
|
Артикул
|
Наименование |
Производитель
|
|---|
|
Артикул
|
Наименование |
Производитель
|
|---|
|
Артикул
|
Наименование |
Производитель
|
|---|
|
Артикул
|
Наименование |
Производитель
|
|---|
|
Артикул
|
Наименование |
Производитель
|
|---|
Акции и предложения
Популярные продукты:
Anti-YFV Envelope protein E Antibody (Fs0371) (RVV25706)
Источник (хозяин): мышь
Реактивность подтвержденная: вирусы
Валидировано для: ELISA, NEUT
Реактивность подтвержденная: вирусы
Валидировано для: ELISA, NEUT
Guinea Pig Nucleoside diphosphate kinase B(NME2) ELISA kit (E05N0550)
Организм: морская свинка
Goat AP 1 complex subunit mu 2(AP1M2) ELISA kit (E06A1558)
Организм: коза
Monkey Tyrosine protein kinase JAK1 ELISA kit (E09J0011)
Организм: обезьяна
Goat Neurocan ELISA kit (E06N0030)
Организм: коза
Porcine Cyclic Citrullinated Peptide ELISA kit (E07C2778)
Организм: свинья

