| UNIPROT | P01591 |
Anti-JCHAIN Antibody (R4A19) (RHN54501)
Реактивность подтвержденная:
человек
Источник (хозяин):
мышь
Валидировано для:
IHC
WB
Характеристики
Техническое описание
| Русское название | RHN54501 Моноклональное антитело к JCHAIN (R4A19) <AntibodySystem,Китай> |
| Каталожный номер | RHN54501 |
| Название антигена | Immunoglobulin J (IgJ) |
| UNIPROT | P01591 |
| Английские синонимы | IGCJ, JCH, Immunoglobulin J Polypeptide,Linker Protein For Immunoglobulin Alpha And Mu Polypeptides |
Реактивность подтвержденная Нужна другая реактивность? |
человек |
| Источник (хозяин) | мышь |
| Изотип | IgG2b |
| Клональность | моноклональное |
| Клон | R4A19 |
| Рекомбинантное | да |
| Готовое к использованию | нет |
| Концентрация | 1 мг/мл |
| Конъюгат | нет |
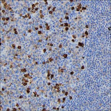
| Валидировано для | IHC WB Иммуногистохимия; Вестерн-блоттинг |
| Рекомендуемые разведения | IHC: 1:500, WB: 1:200 |
| Метод очистки | Очистка с белками A/G из супернатанта клеточной культуры |
| Чистота | >95% |
| Состав буфера | 0.01M PBS, pH 7.4, 0.05% натрия азид |
| Условия хранения | Хранить при 4°C не более 1-2 недель. Хранить при -20°C - 12 месяцев |
| Срок хранения | 12 месяцев |
| Производитель | AntibodySystem |
| Ссылка на страницу товара на сайте производителя | https://www.antibodysystem.com/product/37076.html |
|
Артикул
|
Наименование |
Производитель
|
|---|
|
Артикул
|
Наименование |
Производитель
|
|---|
Акции и предложения
Популярные продукты:
Monoclonal Antibody to Melatonin (MT) (MAA908Ge21)
Источник (хозяин): мышь
Реактивность подтвержденная: для всех
Валидировано для: ELISA
Реактивность подтвержденная: для всех
Валидировано для: ELISA
Chicken Valproic Acid ELISA kit (E12V0432)
Организм: курица
Chicken Cytochrome P450 1A1(CYP1A1) ELISA kit (E12C2225)
Организм: курица

