| UNIPROT | Q92831 |
Anti-KAT2B Antibody (R4A11) (RHN42601)
Реактивность подтвержденная:
человек, мышь, крыса, обезьяна
Источник (хозяин):
мышь
Валидировано для:
ELISA
FCM
IF
IHC
WB
Характеристики
Техническое описание
| Русское название | RHN42601 Моноклональное антитело к KAT2B (R4A11) <AntibodySystem,Китай> |
| Каталожный номер | RHN42601 |
| Название антигена | K-Acetyltransferase 2B (KAT2B) |
| UNIPROT | Q92831 |
| Английские синонимы | PCAF, P/CAF, GCN5, GCN5L, P300/CBP-Associated Factor, Histone acetyltransferase PCAF, Lysine acetyltransferase 2B |
Реактивность подтвержденная Нужна другая реактивность? |
человек, мышь, крыса, обезьяна |
| Источник (хозяин) | мышь |
| Изотип | IgG1 |
| Клональность | моноклональное |
| Клон | R4A11 |
| Рекомбинантное | да |
| Готовое к использованию | нет |
| Концентрация | 1 мг/мл |
| Конъюгат | нет |
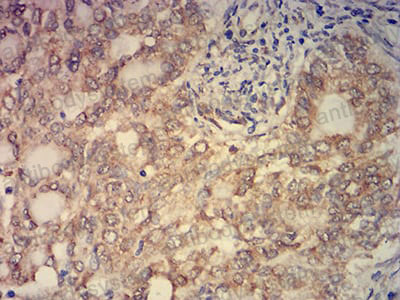
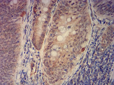
| Валидировано для | ELISA FCM IF IHC WB Иммуноферментный анализ; Проточная цитометрия; Иммунофлуоресценция; Иммуногистохимия; Вестерн-блоттинг |
| Рекомендуемые разведения | ELISA: 1:10000, FCM: 1:200-1:400, IF: 1:200-1:1000, IHC: 1:200-1:1000, WB: 1:500-1:2000 |
| Метод очистки | Очистка с белками A/G из супернатанта клеточной культуры |
| Чистота | >95% |
| Состав буфера | 0.01M PBS, pH 7.4, 0.05% натрия азид |
| Условия хранения | Хранить при 4°C не более 1-2 недель. Хранить при -20°C - 12 месяцев |
| Срок хранения | 12 месяцев |
| Производитель | AntibodySystem |
| Ссылка на страницу товара на сайте производителя | https://www.antibodysystem.com/product/37068.html |
|
Артикул
|
Наименование |
Производитель
|
|---|
|
Артикул
|
Наименование |
Производитель
|
|---|
Акции и предложения
Популярные продукты:
Anti-Bone Morphogenetic Protein 5 (BMP5) Polyclonal Antibody (FAC103Mu01)
Источник (хозяин): кролик
Реактивность подтвержденная: мышь
Валидировано для: FCM
Реактивность подтвержденная: мышь
Валидировано для: FCM
Monoclonal Antibody to Liraglutide (LRT) (MAV769Mi21)
Источник (хозяин): мышь
Реактивность подтвержденная: для всех
Валидировано для: ELISA
Реактивность подтвержденная: для всех
Валидировано для: ELISA
Chicken AP 1 complex subunit gamma 1(AP1G1) ELISA kit (E12A1555)
Организм: курица
Rabbit Bruton's Tyrosine Kinase ELISA kit (E04B0696)
Организм: кролик
Mouse Aspartate Aminotransferase ELISA kit (E03A0626)
Организм: мышь
Диапазон определения: 1-25 нг/мл
Чувствительность: 0.1 нг/мл
Диапазон определения: 1-25 нг/мл
Чувствительность: 0.1 нг/мл
Chicken Prostaglandin Endoperoxide Synthase 2 ELISA kit (E12P0159)
Организм: курица

