| UNIPROT | O95251 |
Anti-KAT7 Antibody (R2W21) (RHB58803)
Реактивность подтвержденная:
человек, мышь, обезьяна
Источник (хозяин):
мышь
Валидировано для:
ELISA
IHC
WB
Характеристики
Техническое описание
| Русское название | RHB58803 Моноклональное антитело к KAT7 (R2W21) <AntibodySystem,Китай> |
| Каталожный номер | RHB58803 |
| Название антигена | MYST Histone Acetyltransferase 2 (MYST2) |
| UNIPROT | O95251 |
| Английские синонимы | HBO1, HBOA, KAT7, MOZ, YBF2/SAS3, SAS2 and TIP60 protein 2, Lysine acetyltransferase 7, Histone acetyltransferase binding to ORC1 |
Реактивность подтвержденная Нужна другая реактивность? |
человек, мышь, обезьяна |
| Источник (хозяин) | мышь |
| Изотип | IgG1 |
| Клональность | моноклональное |
| Клон | R2W21 |
| Рекомбинантное | да |
| Готовое к использованию | нет |
| Концентрация | 1 мг/мл |
| Конъюгат | нет |
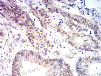
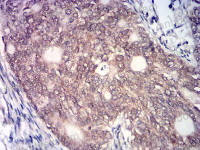
| Валидировано для | ELISA IHC WB Иммуноферментный анализ; Иммуногистохимия; Вестерн-блоттинг |
| Рекомендуемые разведения | ELISA: 1:10000, IHC: 1:200-1:1000, WB: 1:500-1:2000 |
| Метод очистки | Очистка с белками A/G из супернатанта клеточной культуры |
| Чистота | >95% |
| Состав буфера | 0.01M PBS, pH 7.4, 0.05% натрия азид |
| Условия доставки | термобокс с аккумуляторами холода |
| Условия хранения | Хранить при 4°C не более 1-2 недель. Хранить при -20°C - 12 месяцев |
| Срок хранения | 12 месяцев |
| Производитель | AntibodySystem |
| Ссылка на страницу товара на сайте производителя | https://www.antibodysystem.com/product/34307.html |
|
Артикул
|
Наименование |
Производитель
|
|---|
|
Артикул
|
Наименование |
Производитель
|
|---|
|
Артикул
|
Наименование |
Производитель
|
|---|
Акции и предложения
Популярные продукты:
Human Prefoldin subunit 5(PFDN5) ELISA kit (E01P0766)
Организм: человек
Диапазон определения: 0.5-10 нг/мл
Чувствительность: 0.1 нг/мл
Диапазон определения: 0.5-10 нг/мл
Чувствительность: 0.1 нг/мл
Guinea Pig Phospholipidase D ELISA kit (E05P0677)
Организм: морская свинка
Recombinant Mouse ACVRL1 Protein, C-His (YME20502)
Источник (хозяин): E.coli
Организм: мышь
Фрагмент: Asp23-Pro119
Теги: C-His
Биоактивность: нет
Организм: мышь
Фрагмент: Asp23-Pro119
Теги: C-His
Биоактивность: нет
Recombinant mCherry Protein, N-His (YXX51301)
Источник (хозяин): E.coli
Организм: для всех
Фрагмент: Met1-Lys236
Теги: N-His
Биоактивность: нет
Организм: для всех
Фрагмент: Met1-Lys236
Теги: N-His
Биоактивность: нет
Recombinant Human MEN1 Protein, N-His (YHA07201)
Источник (хозяин): E.coli
Организм: человек
Фрагмент: Ser224-Pro395
Теги: N-His
Биоактивность: нет
Организм: человек
Фрагмент: Ser224-Pro395
Теги: N-His
Биоактивность: нет

