| UNIPROT | O60341 |
Anti-KDM1A Antibody (R2V20) (RHA88904)
Реактивность подтвержденная:
человек, обезьяна
Источник (хозяин):
мышь
Валидировано для:
ELISA
FCM
IF
IHC
WB
Характеристики
Техническое описание
| Русское название | RHA88904 Моноклональное антитело к KDM1A (R2V20) <AntibodySystem,Китай> |
| Каталожный номер | RHA88904 |
| Название антигена | Lysine Specific Demethylase 1A (KDM1A) |
| UNIPROT | O60341 |
| Английские синонимы | AOF2, KDM1, BHC110, LSD1, Amine Oxidase Flavin Containing Domain 2, BRAF35-HDAC complex protein BHC110, Flavin-containing amine oxidase domain-containing protein 2 |
Реактивность подтвержденная Нужна другая реактивность? |
человек, обезьяна |
| Источник (хозяин) | мышь |
| Изотип | IgG1 |
| Клональность | моноклональное |
| Клон | R2V20 |
| Рекомбинантное | да |
| Готовое к использованию | нет |
| Концентрация | 1 мг/мл |
| Конъюгат | нет |
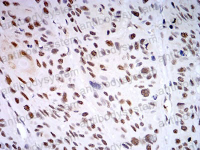
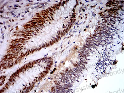
| Валидировано для | ELISA FCM IF IHC WB Иммуноферментный анализ; Проточная цитометрия; Иммунофлуоресценция; Иммуногистохимия; Вестерн-блоттинг |
| Рекомендуемые разведения | ELISA: 1:10000, FCM: 1:200-1:400, IF: 1:200-1:1000, IHC: 1:200-1:1000, WB: 1:500-1:2000 |
| Метод очистки | Очистка с белками A/G из супернатанта клеточной культуры |
| Чистота | >95% |
| Состав буфера | 0.01M PBS, pH 7.4, 0.05% натрия азид |
| Условия доставки | термобокс с аккумуляторами холода |
| Условия хранения | Хранить при 4°C не более 1-2 недель. Хранить при -20°C - 12 месяцев |
| Срок хранения | 12 месяцев |
| Производитель | AntibodySystem |
| Ссылка на страницу товара на сайте производителя | https://www.antibodysystem.com/product/34207.html |
|
Артикул
|
Наименование |
Производитель
|
|---|
|
Артикул
|
Наименование |
Производитель
|
|---|
|
Артикул
|
Наименование |
Производитель
|
|---|
|
Артикул
|
Наименование |
Производитель
|
|---|
Акции и предложения
Популярные продукты:
Mouse Protein TBRG4(TBRG4) ELISA kit (E03P0896)
Организм: мышь
Sheep Apolipoprotein C3 ELISA kit (E14A0516)
Организм: овца
Monkey Apolipoprotein C3 ELISA kit (E09A0516)
Организм: обезьяна
Диапазон определения: 50-1000 нг/мл
Чувствительность: 1 нг/мл
Диапазон определения: 50-1000 нг/мл
Чувствительность: 1 нг/мл

