| UNIPROT | Q14145 |
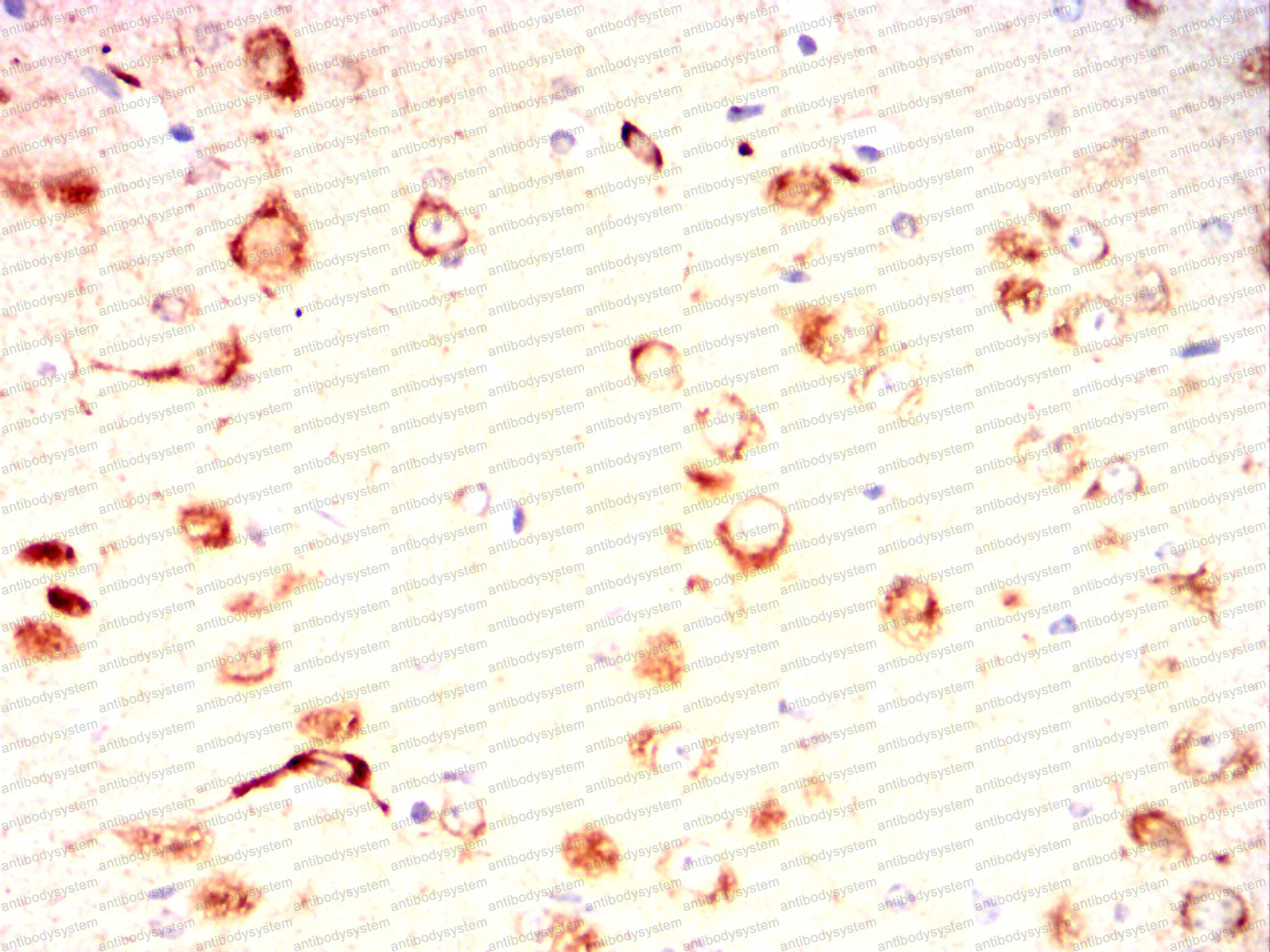
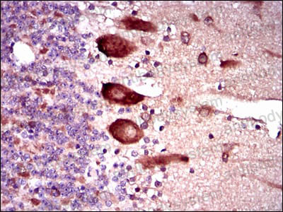
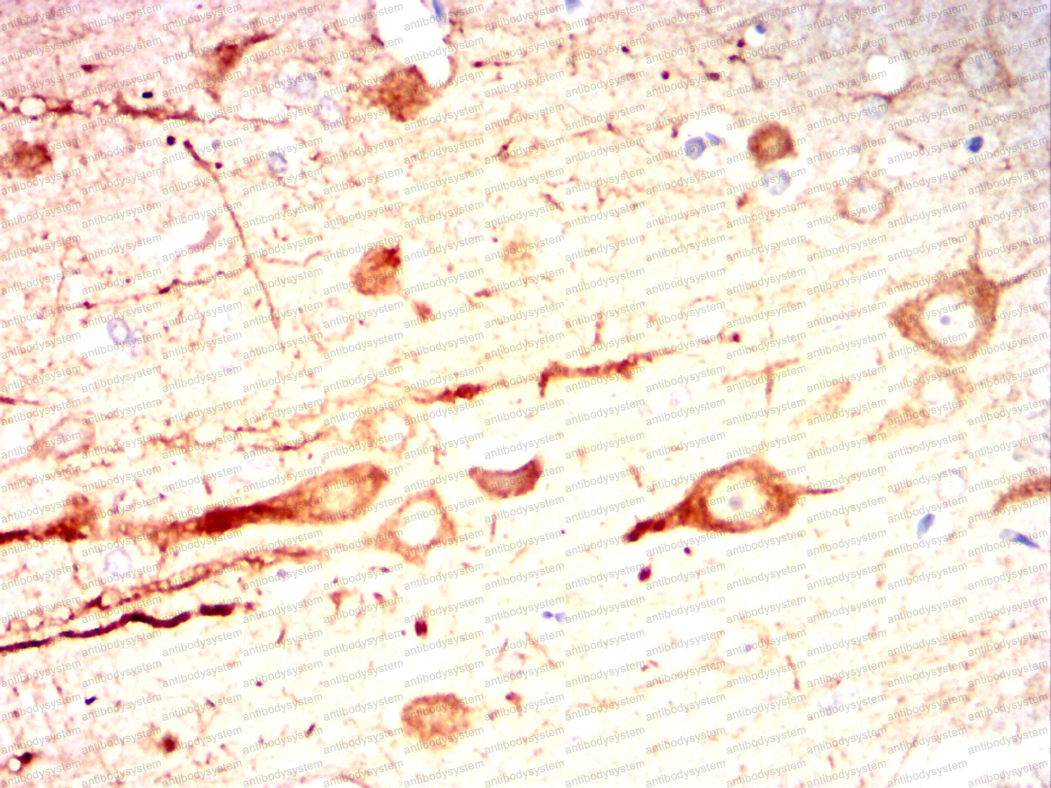
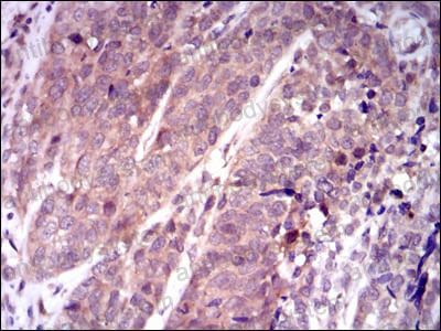
Anti-KEAP1 Antibody (R3T14) (RHG72104)
Реактивность подтвержденная:
человек, мышь, крыса, кролик, обезьяна
Источник (хозяин):
мышь
Валидировано для:
ELISA
FCM
IHC
Характеристики
Техническое описание
| Русское название | RHG72104 Моноклональное антитело к KEAP1 (R3T14) <AntibodySystem,Китай> |
| Каталожный номер | RHG72104 |
| Название антигена | Kelch Like ECH Associated Protein 1 (KEAP1) |
| UNIPROT | Q14145 |
| Английские синонимы | INrf2, KLHL19, Cytosolic inhibitor of Nrf2, Kelch-like protein 19 |
Реактивность подтвержденная Нужна другая реактивность? |
человек, мышь, крыса, кролик, обезьяна |
| Источник (хозяин) | мышь |
| Изотип | IgG1 |
| Клональность | моноклональное |
| Клон | R3T14 |
| Рекомбинантное | да |
| Готовое к использованию | нет |
| Концентрация | 1 мг/мл |
| Конъюгат | нет |
| Валидировано для | ELISA FCM IHC Иммуноферментный анализ; Проточная цитометрия; Иммуногистохимия |
| Рекомендуемые разведения | ELISA: 1:10000, FCM: 1:200-1:400, IHC: 1:200-1:1000 |
| Метод очистки | Очистка с белками A/G из супернатанта клеточной культуры |
| Чистота | >95% |
| Состав буфера | 0.01M PBS, pH 7.4, 0.05% натрия азид |
| Условия хранения | Хранить при 4°C не более 1-2 недель. Хранить при -20°C - 12 месяцев |
| Срок хранения | 12 месяцев |
| Производитель | AntibodySystem |
| Ссылка на страницу товара на сайте производителя | https://www.antibodysystem.com/product/36378.html |
|
Артикул
|
Наименование |
Производитель
|
|---|
|
Артикул
|
Наименование |
Производитель
|
|---|
|
Артикул
|
Наименование |
Производитель
|
|---|
|
Артикул
|
Наименование |
Производитель
|
|---|
|
Артикул
|
Наименование |
Производитель
|
|---|
|
Артикул
|
Наименование |
Производитель
|
|---|
Акции и предложения
Популярные продукты:
Anti-CD29/ITGB1 Antibody (AIIB2), PerCP (FHC17634)
Источник (хозяин): мышь
Реактивность подтвержденная: человек, мышь
Валидировано для: ELISA, FCM, IF, WB
Реактивность подтвержденная: человек, мышь
Валидировано для: ELISA, FCM, IF, WB
Monoclonal Antibody to Perillaldehyde (PA) (MAV865Ge21)
Источник (хозяин): мышь
Реактивность подтвержденная: для всех
Валидировано для: ELISA
Реактивность подтвержденная: для всех
Валидировано для: ELISA
Mouse Valproic Acid ELISA kit (E03V0432)
Организм: мышь
Goat Zinc transporter 8 ELISA kit (E06Z0035)
Организм: коза
Canine Apelin receptor(APLNR) ELISA kit (E08A1593)
Организм: собака
Chicken Tyrosine-protein kinase Tec ELISA kit (E12T0921)
Организм: курица

