| UNIPROT | P52732 |
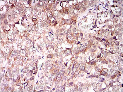
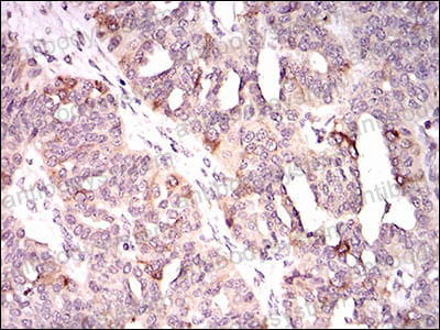
Anti-KIF11 Antibody (R3M89) (RHE93203)
Реактивность подтвержденная:
человек
Источник (хозяин):
мышь
Валидировано для:
ELISA
FCM
IHC
WB
Характеристики
Техническое описание
| Русское название | RHE93203 Моноклональное антитело к KIF11 (R3M89) <AntibodySystem,Китай> |
| Каталожный номер | RHE93203 |
| Название антигена | Kinesin Family, Member 11 (KIF11) |
| UNIPROT | P52732 |
| Английские синонимы | Eg5, HKSP, TRIP5, KNSL1, Kinesin-like protein 1, Kinesin-like spindle protein HKSP, Kinesin-related motor protein Eg5, Thyroid receptor-interacting protein 5 |
Реактивность подтвержденная Нужна другая реактивность? |
человек |
| Источник (хозяин) | мышь |
| Изотип | IgG1 |
| Клональность | моноклональное |
| Клон | R3M89 |
| Рекомбинантное | да |
| Готовое к использованию | нет |
| Концентрация | 1 мг/мл |
| Конъюгат | нет |
| Валидировано для | ELISA FCM IHC WB Иммуноферментный анализ; Проточная цитометрия; Иммуногистохимия; Вестерн-блоттинг |
| Рекомендуемые разведения | ELISA: 1:10000, FCM: 1:200-1:400, IHC: 1:200-1:1000, WB: 1:500-1:2000 |
| Метод очистки | Очистка с белками A/G из супернатанта клеточной культуры |
| Чистота | >95% |
| Состав буфера | 0.01M PBS, pH 7.4, 0.05% натрия азид |
| Условия хранения | Хранить при 4°C не более 1-2 недель. Хранить при -20°C - 12 месяцев |
| Срок хранения | 12 месяцев |
| Производитель | AntibodySystem |
| Ссылка на страницу товара на сайте производителя | https://www.antibodysystem.com/product/35860.html |
|
Артикул
|
Наименование |
Производитель
|
|---|
|
Артикул
|
Наименование |
Производитель
|
|---|
Акции и предложения
Популярные продукты:
Polyclonal Antibody to Solute Carrier Family 30 Member 8 (SLC30A8) (PAE490Hu03)
Источник (хозяин): кролик
Реактивность подтвержденная: человек
Валидировано для: ICC, IHC, WB
Реактивность подтвержденная: человек
Валидировано для: ICC, IHC, WB
Human Dopamine decarboxylase ELISA kit (E01D0232)
Организм: человек
Диапазон определения: 5-100 мкг/мл
Чувствительность: 1 мкг/мл
Диапазон определения: 5-100 мкг/мл
Чувствительность: 1 мкг/мл
Anti-Human LGALS13 Polyclonal Antibody (PHJ77001)
Источник (хозяин): кролик
Реактивность подтвержденная: человек
Валидировано для: ELISA, IHC, WB
Реактивность подтвержденная: человек
Валидировано для: ELISA, IHC, WB
Fluor® 647 Anti-Mouse Perforin Antibody[S16009A] (FCE3725)
Источник (хозяин): крыса
Реактивность подтвержденная: мышь
Валидировано для: FCM
Реактивность подтвержденная: мышь
Валидировано для: FCM
PE/Cyanine5.5 Anti-Human CD45 Antibody[HI30] (FCE2884)
Источник (хозяин): мышь
Реактивность подтвержденная: человек
Валидировано для: FCM
Реактивность подтвержденная: человек
Валидировано для: FCM
Anti-KIF11 Antibody (R3M89) (RHE93203)
Источник (хозяин): мышь
Реактивность подтвержденная: человек
Валидировано для: ELISA, FCM, IHC, WB
Реактивность подтвержденная: человек
Валидировано для: ELISA, FCM, IHC, WB

