| UNIPROT | Q9BW19 |
Anti-KIFC1 Antibody (R1A12) (RHN59101)
Реактивность подтвержденная:
человек
Источник (хозяин):
кролик
Валидировано для:
IF
IHC
IP
WB
Характеристики
Техническое описание
| Русское название | RHN59101 Моноклональное антитело к KIFC1 (R1A12) <AntibodySystem,Китай> |
| Каталожный номер | RHN59101 |
| Название антигена | Kinesin Family, Member C1 (KIFC1) |
| UNIPROT | Q9BW19 |
| Английские синонимы | HSET, KNSL2, Kinesin-Like 2, Kinesin-related protein HSET |
Реактивность подтвержденная Нужна другая реактивность? |
человек |
| Источник (хозяин) | кролик |
| Изотип | IgG |
| Клональность | моноклональное |
| Клон | R1A12 |
| Рекомбинантное | да |
| Готовое к использованию | нет |
| Концентрация | 1 мг/мл |
| Конъюгат | нет |
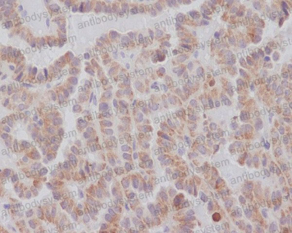
| Валидировано для | IF IHC IP WB Иммунофлуоресценция; Иммуногистохимия; Иммунопреципитация; Вестерн-блоттинг |
| Рекомендуемые разведения | IF: 1:50-1:200, IHC: 1:100-1:200, IP: 1:20-1:50, WB: 1:1000-1:2000 |
| Метод очистки | Очистка с белками A/G из супернатанта клеточной культуры |
| Чистота | >95% |
| Состав буфера | 0.01M PBS, pH 7.4, 0.05% БСА, 50% глицерин, 0.05% азид натрия |
| Условия доставки | термобокс с аккумуляторами холода |
| Условия хранения | Хранить при -20 С -12 месяцев |
| Срок хранения | 12 месяцев |
| Производитель | AntibodySystem |
| Ссылка на страницу товара на сайте производителя | https://www.antibodysystem.com/product/29618.html |
|
Артикул
|
Наименование |
Производитель
|
|---|
|
Артикул
|
Наименование |
Производитель
|
|---|
|
Артикул
|
Наименование |
Производитель
|
|---|
Акции и предложения
Популярные продукты:
Human Palate, lung, and nasal epithelium carcinoma associated protein ELISA kit (E01P0183)
Организм: человек
Диапазон определения: 5-100 нг/мл
Чувствительность: 0.1 нг/мл
Диапазон определения: 5-100 нг/мл
Чувствительность: 0.1 нг/мл
Canine Ankycorbin(RAI14) ELISA kit (E08A1948)
Организм: собака
Sheep Coatomer subunit β(COPB1) ELISA kit (E14C1932)
Организм: овца
Bovine Keratin 10 ELISA kit (E11K0201)
Организм: корова

