| UNIPROT | P20151 |
Anti-KLK2 Antibody (R3F52) (RHD37702)
Реактивность подтвержденная:
человек
Источник (хозяин):
мышь
Валидировано для:
ELISA
FCM
IHC
Характеристики
Техническое описание
| Русское название | RHD37702 Моноклональное антитело к KLK2 (R3F52) <AntibodySystem,Китай> |
| Каталожный номер | RHD37702 |
| Название антигена | Kallikrein 2 (KLK2) |
| UNIPROT | P20151 |
| Английские синонимы | KLK2A2, HK2, Prostatic Kallikrein-Related Peptidase 2, Glandular kallikrein-1, Tissue kallikrein-2 |
Реактивность подтвержденная Нужна другая реактивность? |
человек |
| Источник (хозяин) | мышь |
| Изотип | IgG1 |
| Клональность | моноклональное |
| Клон | R3F52 |
| Рекомбинантное | да |
| Готовое к использованию | нет |
| Концентрация | 1 мг/мл |
| Конъюгат | нет |
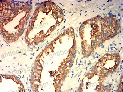
| Валидировано для | ELISA FCM IHC Иммуноферментный анализ; Проточная цитометрия; Иммуногистохимия |
| Рекомендуемые разведения | ELISA: 1:10000, FCM: 1:200-1:400, IHC: 1:200-1:1000 |
| Метод очистки | Очистка с белками A/G из супернатанта клеточной культуры |
| Чистота | >95% |
| Состав буфера | 0.01M PBS, pH 7.4, 0.05% натрия азид |
| Условия хранения | Хранить при 4°C не более 1-2 недель. Хранить при -20°C - 12 месяцев |
| Срок хранения | 12 месяцев |
| Производитель | AntibodySystem |
| Ссылка на страницу товара на сайте производителя | https://www.antibodysystem.com/product/35229.html |
|
Артикул
|
Наименование |
Производитель
|
|---|
|
Артикул
|
Наименование |
Производитель
|
|---|
|
Артикул
|
Наименование |
Производитель
|
|---|
Акции и предложения
Популярные продукты:
ELISA Kit DIY Materials for Amelogenin, X-Linked (AMELX) (KSJ645Hu01)
Организм: человек
Диапазон определения: 0.156-10 нг/мл
Чувствительность: 0.055 нг/мл
Диапазон определения: 0.156-10 нг/мл
Чувствительность: 0.055 нг/мл
Bovine 14 kDa phosphohistidine phosphatase ELISA kit (E11P0906)
Организм: корова
Chicken Ataxin 7(ATXN7) ELISA kit (E12A1770)
Организм: курица
Canine Cluster of differentiation 19 ELISA kit (E08C0712)
Организм: собака
Mouse Amylase Alpha 2,Pancreatic ELISA kit (E03A0475)
Организм: мышь
Anti-THOP1 Polyclonal Antibody (PHE96001)
Источник (хозяин): кролик
Реактивность подтвержденная: человек, мышь, крыса
Валидировано для: ELISA, IHC, WB
Реактивность подтвержденная: человек, мышь, крыса
Валидировано для: ELISA, IHC, WB

