| UNIPROT | P01042 |
Anti-KNG1 Antibody (R2X08) (RHB90602)
Реактивность подтвержденная:
человек
Источник (хозяин):
мышь
Валидировано для:
IHC
WB
Характеристики
Техническое описание
| Русское название | RHB90602 Моноклональное антитело к KNG1 (R2X08) <AntibodySystem,Китай> |
| Каталожный номер | RHB90602 |
| Название антигена | Kininogen 1 (KNG1) |
| UNIPROT | P01042 |
| Английские синонимы | BDK, KNG, HMWK, Alpha-2-Thiol Proteinase Inhibitor, Bradykinin, Kallidin, Fitzgerald factor, High molecular weight kininogen, Williams-Fitzgerald-Flaujeac factor, Ile-Ser-Bradykinin |
Реактивность подтвержденная Нужна другая реактивность? |
человек |
| Источник (хозяин) | мышь |
| Изотип | IgG2b |
| Клональность | моноклональное |
| Клон | R2X08 |
| Рекомбинантное | да |
| Готовое к использованию | нет |
| Концентрация | 1 мг/мл |
| Конъюгат | нет |
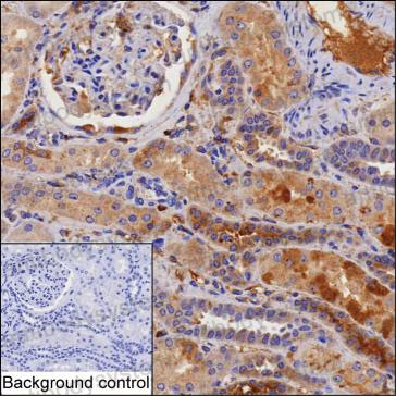
| Валидировано для | IHC WB Иммуногистохимия; Вестерн-блоттинг |
| Рекомендуемые разведения | IHC: 1:500, WB: 1:500-1:1000 |
| Метод очистки | Очистка с белками A/G из супернатанта клеточной культуры |
| Чистота | >95% |
| Состав буфера | 0.01M PBS, pH 7.4, 0.05% натрия азид |
| Условия доставки | термобокс с аккумуляторами холода |
| Условия хранения | Хранить при 4°C не более 1-2 недель. Хранить при -20°C - 12 месяцев |
| Срок хранения | 12 месяцев |
| Производитель | AntibodySystem |
| Ссылка на страницу товара на сайте производителя | https://www.antibodysystem.com/product/34393.html |
|
Артикул
|
Наименование |
Производитель
|
|---|
|
Артикул
|
Наименование |
Производитель
|
|---|
|
Артикул
|
Наименование |
Производитель
|
|---|
|
Артикул
|
Наименование |
Производитель
|
|---|
Акции и предложения
Популярные продукты:
Recombinant Human CD70 Protein, N-Fc (EHE01901)
Источник (хозяин): клетки млекопитающих
Организм: человек
Фрагмент: Gln39-Pro193
Теги: N-Fc
Биоактивность: нет
Организм: человек
Фрагмент: Gln39-Pro193
Теги: N-Fc
Биоактивность: нет
FITC Anti-Human CD11b Antibody[ICRF44] (FCE2957)
Источник (хозяин): мышь
Реактивность подтвержденная: человек
Валидировано для: FCM
Реактивность подтвержденная: человек
Валидировано для: FCM
Anti-KNG1 Antibody (R2X08) (RHB90602)
Источник (хозяин): мышь
Реактивность подтвержденная: человек
Валидировано для: IHC, WB
Реактивность подтвержденная: человек
Валидировано для: IHC, WB
ADM Polyclonal Antibody (E-AB-92899)
Источник (хозяин): кролик
Реактивность подтвержденная: мышь
Валидировано для: WB
Реактивность подтвержденная: мышь
Валидировано для: WB
Recombinant Antibody to Cluster of Differentiation 79B (CD79B) (RAB382Hu21)
Источник (хозяин): мышь
Реактивность подтвержденная: человек
Валидировано для: FCM
Реактивность подтвержденная: человек
Валидировано для: FCM

