| UNIPROT | P13645 |
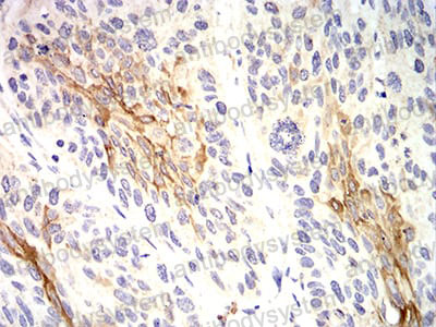
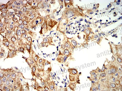
Anti-KRT10 Antibody (R3D26) (RHC99303)
Реактивность подтвержденная:
человек, обезьяна
Источник (хозяин):
мышь
Валидировано для:
ELISA
IHC
WB
Характеристики
Техническое описание
| Русское название | RHC99303 Моноклональное антитело к KRT10 (R3D26) <AntibodySystem,Китай> |
| Каталожный номер | RHC99303 |
| Название антигена | Keratin 10 (KRT10) |
| UNIPROT | P13645 |
| Английские синонимы | K10, CK10, KPP, Cytokeratin 10, Epidermolytic Hyperkeratosis, Keratosis Palmaris Et Plantaris, Keratin, type I cytoskeletal 10 |
Реактивность подтвержденная Нужна другая реактивность? |
человек, обезьяна |
| Источник (хозяин) | мышь |
| Изотип | IgG1 |
| Клональность | моноклональное |
| Клон | R3D26 |
| Рекомбинантное | да |
| Готовое к использованию | нет |
| Концентрация | 1 мг/мл |
| Конъюгат | нет |
| Валидировано для | ELISA IHC WB Иммуноферментный анализ; Иммуногистохимия; Вестерн-блоттинг |
| Рекомендуемые разведения | ELISA: 1:10000, IHC: 1:200-1:1000, WB: 1:500-1:2000 |
| Метод очистки | Очистка с белками A/G из супернатанта клеточной культуры |
| Чистота | >95% |
| Состав буфера | 0.01M PBS, pH 7.4, 0.05% натрия азид |
| Условия доставки | термобокс с аккумуляторами холода |
| Условия хранения | Хранить при 4°C не более 1-2 недель. Хранить при -20°C - 12 месяцев |
| Срок хранения | 12 месяцев |
| Производитель | AntibodySystem |
| Ссылка на страницу товара на сайте производителя | https://www.antibodysystem.com/product/35005.html |
|
Артикул
|
Наименование |
Производитель
|
|---|
|
Артикул
|
Наименование |
Производитель
|
|---|
|
Артикул
|
Наименование |
Производитель
|
|---|
|
Артикул
|
Наименование |
Производитель
|
|---|
|
Артикул
|
Наименование |
Производитель
|
|---|
|
Артикул
|
Наименование |
Производитель
|
|---|
|
Артикул
|
Наименование |
Производитель
|
|---|
Акции и предложения
Популярные продукты:
Anti-Interleukin 18 (IL18) Monoclonal Antibody (FAA064Bo04)
Источник (хозяин): мышь
Реактивность подтвержденная: корова
Валидировано для: FCM
Реактивность подтвержденная: корова
Валидировано для: FCM
Anti-Interleukin 18 (IL18) Monoclonal Antibody (FAA064Hu08)
Источник (хозяин): мышь
Реактивность подтвержденная: человек
Валидировано для: FCM
Реактивность подтвержденная: человек
Валидировано для: FCM
Anti-Human TXNDC12 Polyclonal Antibody (PHB78501)
Источник (хозяин): кролик
Реактивность подтвержденная: человек
Валидировано для: ELISA, IHC, WB
Реактивность подтвержденная: человек
Валидировано для: ELISA, IHC, WB
Anti-Human SMC2 Polyclonal Antibody (PHB61501)
Источник (хозяин): кролик
Реактивность подтвержденная: человек
Валидировано для: ELISA, IHC, WB
Реактивность подтвержденная: человек
Валидировано для: ELISA, IHC, WB
Anti-Human Pinin/PNN/DRSP Polyclonal Antibody (PHK88201)
Источник (хозяин): кролик
Реактивность подтвержденная: человек
Валидировано для: ELISA, IHC, WB
Реактивность подтвержденная: человек
Валидировано для: ELISA, IHC, WB
Anti-Human NPC2 Polyclonal Antibody (PHF46401)
Источник (хозяин): кролик
Реактивность подтвержденная: человек
Валидировано для: ELISA, IHC, WB
Реактивность подтвержденная: человек
Валидировано для: ELISA, IHC, WB

