| UNIPROT | P05783 |
Anti-KRT18 Antibody (R2Z42) (RHC17804)
Реактивность подтвержденная:
человек
Источник (хозяин):
мышь
Валидировано для:
ELISA
FCM
IF
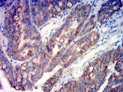
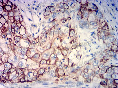
IHC
WB
Характеристики
Техническое описание
| Русское название | RHC17804 Моноклональное антитело к KRT18 (R2Z42) <AntibodySystem,Китай> |
| Каталожный номер | RHC17804 |
| Название антигена | Keratin 18 (KRT18) |
| UNIPROT | P05783 |
| Английские синонимы | CK18, CYK18, K18, Cytokeratin 18, Cell proliferation-inducing gene 46 protein, Keratin, type I cytoskeletal 18 |
Реактивность подтвержденная Нужна другая реактивность? |
человек |
| Источник (хозяин) | мышь |
| Изотип | IgG1 |
| Клональность | моноклональное |
| Клон | R2Z42 |
| Рекомбинантное | да |
| Готовое к использованию | нет |
| Концентрация | 1 мг/мл |
| Конъюгат | нет |
| Валидировано для | ELISA FCM IF IHC WB Иммуноферментный анализ; Проточная цитометрия; Иммунофлуоресценция; Иммуногистохимия; Вестерн-блоттинг |
| Рекомендуемые разведения | ELISA: 1:10000, FCM: 1:200-1:400, IF: 1:500-1:2000, IHC: 1:200-1:1000, WB: 1:500-1:2000 |
| Метод очистки | Очистка с белками A/G из супернатанта клеточной культуры |
| Чистота | >95% |
| Состав буфера | 0.01M PBS, pH 7.4, 0.05% натрия азид |
| Условия доставки | термобокс с аккумуляторами холода |
| Условия хранения | Хранить при 4°C не более 1-2 недель. Хранить при -20°C - 12 месяцев |
| Срок хранения | 12 месяцев |
| Производитель | AntibodySystem |
| Ссылка на страницу товара на сайте производителя | https://www.antibodysystem.com/product/34625.html |
|
Артикул
|
Наименование |
Производитель
|
|---|
|
Артикул
|
Наименование |
Производитель
|
|---|
|
Артикул
|
Наименование |
Производитель
|
|---|
|
Артикул
|
Наименование |
Производитель
|
|---|
|
Артикул
|
Наименование |
Производитель
|
|---|
|
Артикул
|
Наименование |
Производитель
|
|---|
|
Артикул
|
Наименование |
Производитель
|
|---|
|
Артикул
|
Наименование |
Производитель
|
|---|
|
Артикул
|
Наименование |
Производитель
|
|---|
Акции и предложения
Популярные продукты:
ELISA Kit DIY Materials for Huntingtin (HTT) (KSH922Hu01)
Организм: человек
Диапазон определения: 0.156-10 нг/мл
Чувствительность: 0.063 нг/мл
Диапазон определения: 0.156-10 нг/мл
Чувствительность: 0.063 нг/мл
ELISA Kit DIY Materials for Glucose 6 Phosphate Isomerase (GPI) (KSA725Mu01)
Организм: мышь
Диапазон определения: 1.56-100 нг/мл
Чувствительность: 0.59 нг/мл
Диапазон определения: 1.56-100 нг/мл
Чувствительность: 0.59 нг/мл
ELISA Kit DIY Materials for Angiotensin I Converting Enzyme 2 (ACE2) (KSB886Hu01)
Организм: человек
Диапазон определения: 15.6-1000 пг/мл
Чувствительность: 5.5 пг/мл
Диапазон определения: 15.6-1000 пг/мл
Чувствительность: 5.5 пг/мл
Mouse A Disintegrin And Metalloprotease 19 ELISA kit (E03A0033)
Организм: мышь
Диапазон определения: 0.5-10 нг/мл
Чувствительность: 0.1 нг/мл
Диапазон определения: 0.5-10 нг/мл
Чувствительность: 0.1 нг/мл
Canine Caskin 1(CASKIN1) ELISA kit (E08C1389)
Организм: собака
Mouse Caskin 1(CASKIN1) ELISA kit (E03C1389)
Организм: мышь

