| UNIPROT | P08727 |
Anti-KRT19/CK19 Antibody (R3B27) (RHC36004)
Реактивность подтвержденная:
человек
Источник (хозяин):
мышь
Валидировано для:
IHC
Характеристики
Техническое описание
| Русское название | RHC36004 Моноклональное антитело к KRT19/CK19 (R3B27) <AntibodySystem,Китай> |
| Каталожный номер | RHC36004 |
| Название антигена | Keratin 19 (KRT19) |
| UNIPROT | P08727 |
| Английские синонимы | K19, CK19, K1CS, Cytokeratin 19, 40-kDa Keratin Intermediate Filament, Keratin, type I cytoskeletal 19 |
Реактивность подтвержденная Нужна другая реактивность? |
человек |
| Источник (хозяин) | мышь |
| Изотип | IgG1 |
| Клональность | моноклональное |
| Клон | R3B27 |
| Рекомбинантное | да |
| Готовое к использованию | нет |
| Концентрация | 1 мг/мл |
| Конъюгат | нет |
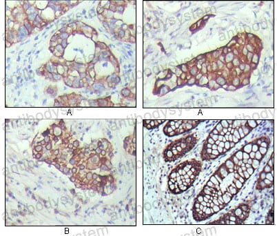
| Валидировано для | IHC Иммуногистохимия |
| Рекомендуемые разведения | IHC: 1:200-1:1000 |
| Метод очистки | Очистка с белками A/G из супернатанта клеточной культуры |
| Чистота | >95% |
| Состав буфера | 0.01M PBS, pH 7.4, 0.05% натрия азид |
| Условия доставки | термобокс с аккумуляторами холода |
| Условия хранения | Хранить при 4°C не более 1-2 недель. Хранить при -20°C - 12 месяцев |
| Срок хранения | 12 месяцев |
| Производитель | AntibodySystem |
| Ссылка на страницу товара на сайте производителя | https://www.antibodysystem.com/product/34808.html |
|
Артикул
|
Наименование |
Производитель
|
|---|
|
Артикул
|
Наименование |
Производитель
|
|---|
|
Артикул
|
Наименование |
Производитель
|
|---|
|
Артикул
|
Наименование |
Производитель
|
|---|
|
Артикул
|
Наименование |
Производитель
|
|---|
|
Артикул
|
Наименование |
Производитель
|
|---|
|
Артикул
|
Наименование |
Производитель
|
|---|
Акции и предложения
Популярные продукты:
Bovine GATA Binding Protein 1 ELISA kit (E11G0084)
Организм: корова
PMP2 Polyclonal Antibody (E-AB-16991)
Источник (хозяин): кролик
Реактивность подтвержденная: человек, мышь
Валидировано для: IHC, WB
Реактивность подтвержденная: человек, мышь
Валидировано для: IHC, WB
PerCP/Cyanine5.5 Anti-Rat CD3 Antibody[G4.18] (E-AB-F1228UJ)
Источник (хозяин): мышь
Реактивность подтвержденная: крыса
Валидировано для: FCM
Реактивность подтвержденная: крыса
Валидировано для: FCM
Anti-Chromobox Homolog 3 (CBX3) Polyclonal Antibody (FAC363Hu01)
Источник (хозяин): кролик
Реактивность подтвержденная: человек
Валидировано для: FCM
Реактивность подтвержденная: человек
Валидировано для: FCM
Monoclonal Antibody to Motility Related Protein (MRP1) (MAB097Hu28)
Источник (хозяин): мышь
Реактивность подтвержденная: человек
Валидировано для: WB
Реактивность подтвержденная: человек
Валидировано для: WB

