| UNIPROT | P04264 |
Anti-KRT1 Antibody (R2Y71) (RHC08301)
Реактивность подтвержденная:
человек
Источник (хозяин):
мышь
Валидировано для:
IHC
Характеристики
Техническое описание
| Русское название | RHC08301 Моноклональное антитело к KRT1 (R2Y71) <AntibodySystem,Китай> |
| Каталожный номер | RHC08301 |
| Название антигена | Keratin 1 (KRT1) |
| UNIPROT | P04264 |
| Английские синонимы | CK1, EHK1, K1, KRT1A, KRT1-A, Cytokeratin 1, Epidermolytic Hyperkeratosis, Keratin, type II cytoskeletal 1, 67 kDa cytokeratin, Type-II keratin Kb1 |
Реактивность подтвержденная Нужна другая реактивность? |
человек |
| Источник (хозяин) | мышь |
| Изотип | IgG1 |
| Клональность | моноклональное |
| Клон | R2Y71 |
| Рекомбинантное | да |
| Готовое к использованию | нет |
| Концентрация | 1 мг/мл |
| Конъюгат | нет |
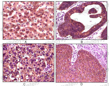
| Валидировано для | IHC Иммуногистохимия |
| Рекомендуемые разведения | IHC: 1:200-1:1000 |
| Метод очистки | Очистка с белками A/G из супернатанта клеточной культуры |
| Чистота | >95% |
| Состав буфера | 0.01M PBS, pH 7.4, 0.05% натрия азид |
| Условия доставки | термобокс с аккумуляторами холода |
| Условия хранения | Хранить при 4°C не более 1-2 недель. Хранить при -20°C - 12 месяцев |
| Срок хранения | 12 месяцев |
| Производитель | AntibodySystem |
| Ссылка на страницу товара на сайте производителя | https://www.antibodysystem.com/product/34555.html |
|
Артикул
|
Наименование |
Производитель
|
|---|
|
Артикул
|
Наименование |
Производитель
|
|---|
|
Артикул
|
Наименование |
Производитель
|
|---|
|
Артикул
|
Наименование |
Производитель
|
|---|
|
Артикул
|
Наименование |
Производитель
|
|---|
Акции и предложения
Популярные продукты:
Monoclonal Antibody to Beta-2-Microglobulin (b2M) (MAA260Ra24)
Источник (хозяин): мышь
Реактивность подтвержденная: крыса
Валидировано для: WB
Реактивность подтвержденная: крыса
Валидировано для: WB
Goat Gastrokine 1 ELISA kit (E06G0184)
Организм: коза
Canine Corneodesmosin ELISA kit (E08C0406)
Организм: собака
Goat Antithrombin III(AT III) ELISA kit (E06A1970)
Организм: коза
Goat Acylphosphatase 2(ACYP2) ELISA kit (E06A1238)
Организм: коза
Bovine Phospholipidase D ELISA kit (E11P0677)
Организм: корова

