| UNIPROT | P13647 |
Anti-KRT5 Antibody (R3D32) (RHC99502)
Реактивность подтвержденная:
человек
Источник (хозяин):
мышь
Валидировано для:
IHC
Характеристики
Техническое описание
| Русское название | RHC99502 Моноклональное антитело к KRT5 (R3D32) <AntibodySystem,Китай> |
| Каталожный номер | RHC99502 |
| Название антигена | Keratin 5 (KRT5) |
| UNIPROT | P13647 |
| Английские синонимы | CK5, DDD, EBS2, K5, KRT5A, KRT5-A, Cytokeratin 5, 58 kDa cytokeratin, Type-II keratin Kb5, Epidermolysis Bullosa Simplex Dowling-Meara/Kobner/Weber-Cockayne Types |
Реактивность подтвержденная Нужна другая реактивность? |
человек |
| Источник (хозяин) | мышь |
| Изотип | IgG1 |
| Клональность | моноклональное |
| Клон | R3D32 |
| Рекомбинантное | да |
| Готовое к использованию | нет |
| Концентрация | 1 мг/мл |
| Конъюгат | нет |
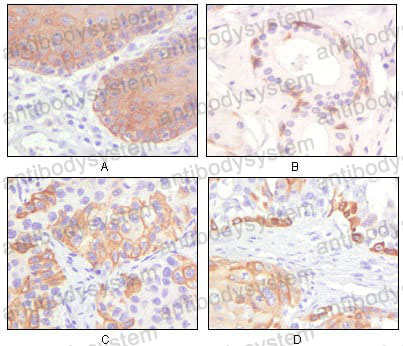
| Валидировано для | IHC Иммуногистохимия |
| Рекомендуемые разведения | IHC: 1:200-1:1000 |
| Метод очистки | Очистка с белками A/G из супернатанта клеточной культуры |
| Чистота | >95% |
| Состав буфера | 0.01M PBS, pH 7.4, 0.05% натрия азид |
| Условия доставки | термобокс с аккумуляторами холода |
| Условия хранения | Хранить при 4°C не более 1-2 недель. Хранить при -20°C - 12 месяцев |
| Срок хранения | 12 месяцев |
| Производитель | AntibodySystem |
| Ссылка на страницу товара на сайте производителя | https://www.antibodysystem.com/product/35011.html |
|
Артикул
|
Наименование |
Производитель
|
|---|
|
Артикул
|
Наименование |
Производитель
|
|---|
|
Артикул
|
Наименование |
Производитель
|
|---|
|
Артикул
|
Наименование |
Производитель
|
|---|
|
Артикул
|
Наименование |
Производитель
|
|---|
|
Артикул
|
Наименование |
Производитель
|
|---|
Акции и предложения
Популярные продукты:
Rabbit BCL 2 Antagonist/Killer 1 ELISA kit (E04B0571)
Организм: кролик
Human Prokineticin Receptor 2 ELISA kit (E01P0122)
Организм: человек
Диапазон определения: 1-25 нг/мл
Чувствительность: 0.1 нг/мл
Диапазон определения: 1-25 нг/мл
Чувствительность: 0.1 нг/мл
Recombinant Human RICTOR Protein, N-His-SUMO & C-Strep (YHK47101)
Источник (хозяин): E.coli
Организм: человек
Фрагмент: Arg32-Glu140
Теги: N-His-SUMO & C-Strep
Биоактивность: нет
Организм: человек
Фрагмент: Arg32-Glu140
Теги: N-His-SUMO & C-Strep
Биоактивность: нет
Anti-KRT5 Antibody (R3D39) (RHC99509)
Источник (хозяин): мышь
Реактивность подтвержденная: человек
Валидировано для: ELISA, FCM, IF, IHC, WB
Реактивность подтвержденная: человек
Валидировано для: ELISA, FCM, IF, IHC, WB
Anti-KRT5 Antibody (R3D32) (RHC99502)
Источник (хозяин): мышь
Реактивность подтвержденная: человек
Валидировано для: IHC
Реактивность подтвержденная: человек
Валидировано для: IHC

