| UNIPROT | P13647 |
Anti-KRT5 Antibody (R3D37) (RHC99507)
Реактивность подтвержденная:
человек
Источник (хозяин):
мышь
Валидировано для:
ELISA
FCM
IHC
WB
Характеристики
Техническое описание
| Русское название | RHC99507 Моноклональное антитело к KRT5 (R3D37) <AntibodySystem,Китай> |
| Каталожный номер | RHC99507 |
| Название антигена | Keratin 5 (KRT5) |
| UNIPROT | P13647 |
| Английские синонимы | CK5, DDD, EBS2, K5, KRT5A, KRT5-A, Cytokeratin 5, 58 kDa cytokeratin, Type-II keratin Kb5, Epidermolysis Bullosa Simplex Dowling-Meara/Kobner/Weber-Cockayne Types |
Реактивность подтвержденная Нужна другая реактивность? |
человек |
| Источник (хозяин) | мышь |
| Изотип | IgG1 |
| Клональность | моноклональное |
| Клон | R3D37 |
| Рекомбинантное | да |
| Готовое к использованию | нет |
| Концентрация | 1 мг/мл |
| Конъюгат | нет |
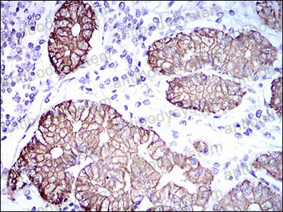
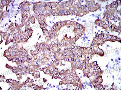
| Валидировано для | ELISA FCM IHC WB Иммуноферментный анализ; Проточная цитометрия; Иммуногистохимия; Вестерн-блоттинг |
| Рекомендуемые разведения | ELISA: 1:10000, FCM: 1:200-1:400, IHC: 1:200-1:1000, WB: 1:500-1:2000 |
| Метод очистки | Очистка с белками A/G из супернатанта клеточной культуры |
| Чистота | >95% |
| Состав буфера | 0.01M PBS, pH 7.4, 0.05% натрия азид |
| Условия доставки | термобокс с аккумуляторами холода |
| Условия хранения | Хранить при 4°C не более 1-2 недель. Хранить при -20°C - 12 месяцев |
| Срок хранения | 12 месяцев |
| Производитель | AntibodySystem |
| Ссылка на страницу товара на сайте производителя | https://www.antibodysystem.com/product/35016.html |
|
Артикул
|
Наименование |
Производитель
|
|---|
|
Артикул
|
Наименование |
Производитель
|
|---|
|
Артикул
|
Наименование |
Производитель
|
|---|
|
Артикул
|
Наименование |
Производитель
|
|---|
|
Артикул
|
Наименование |
Производитель
|
|---|
|
Артикул
|
Наименование |
Производитель
|
|---|
Акции и предложения
Популярные продукты:
NFAT4 Mouse Monoclonal Antibody (BF8934)
Источник (хозяин): мышь
Реактивность подтвержденная: человек
Валидировано для: WB
Реактивность подтвержденная: человек
Валидировано для: WB
TAS1R2 Mouse Monoclonal Antibody (BF9412)
Источник (хозяин): мышь
Реактивность подтвержденная: человек
Валидировано для: WB
Реактивность подтвержденная: человек
Валидировано для: WB
VWA5A Mouse Monoclonal Antibody (BF9351)
Источник (хозяин): мышь
Реактивность подтвержденная: человек
Валидировано для: WB
Реактивность подтвержденная: человек
Валидировано для: WB
GSK3A/B Mouse monoclonal Antibody (BF8003)
Источник (хозяин): мышь
Реактивность подтвержденная: человек, мышь, крыса
Валидировано для: ICC, IF, IHC, WB
Реактивность подтвержденная: человек, мышь, крыса
Валидировано для: ICC, IF, IHC, WB
Anti-Human CD1b Antibody (Fs0326), APC (FHD81012)
Источник (хозяин): мышь
Реактивность подтвержденная: человек
Валидировано для: ELISA, FCM, IF, IP, WB
Реактивность подтвержденная: человек
Валидировано для: ELISA, FCM, IF, IP, WB
Mouse ABL interactor 1(ABI1) ELISA kit (E03A1156)
Организм: мышь

