| UNIPROT | P02545 |
Anti-Lamin B1 (LMNB1) Monoclonal Antibody (CAF548Mi22)
Реактивность подтвержденная:
человек, мышь, крыса
Источник (хозяин):
мышь
Валидировано для:
WB
Характеристики
Техническое описание
| Русское название | CAF548Mi22 Моноклональное антитело к LMNB1 <Cloud-Clone,Китай> |
| Каталожный номер | CAF548Mi22 |
| Название антигена | Lamin B1 (LMNB1) |
| UNIPROT | P02545 |
| Английские синонимы | LMN, LMN2, LMNB |
Реактивность подтвержденная Нужна другая реактивность? |
человек, мышь, крыса |
| Реактивность предсказываемая | морская свинка, кролик, собака, свинья, корова, коза |
| Источник (хозяин) | мышь |
| Изотип | IgG |
| Клональность | моноклональное |
| Клон | 205# |
| Рекомбинантное | нет |
| Готовое к использованию | нет |
| Концентрация | 1 мг/мл |
| Конъюгат | По запросу: HRP, biotin, PerCP, PE, Cy3, FITC, Cy7, Cy5.5, PE-Cy5, PE-Cy7, PerCp-Cy5.5, APC, Cy5, PE-Cy3, PE-Cy5.5, APC-Cy7, Biotin-APC, FITC-Biotin, TRITC, APC-Cy5, AF488, AF594, AF405, AF555, AF700, AF647, AF750 |
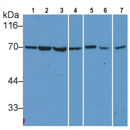
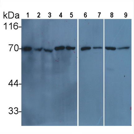
| Валидировано для | WB Вестерн-блоттинг |
| Рекомендуемые разведения | WB: 0.001-1 мкг/мл; Оптимальное разведение определяется конечным потребителем |
| Метод очистки | Аффинная хроматография с белком А и белком G |
| Состав буфера | PBS, pH7.4, 0.02% NaN3, 50% глицерин |
| Условия доставки | термобокс с аккумуляторами холода |
| Условия хранения | Сразу после получения аликвотировать и хранить при -20ºС до 24 месяцев. Для частого использования хранить при +4ºС не более 2 недель. Избегать повторения циклов замерзания/оттаивания |
| Срок хранения | 24 месяца |
| Производитель | Cloud-Clone Corp. |
| Ссылка на страницу товара на сайте производителя | http://www.cloud-clone.com/products/CAF548Mi22.html |
|
Артикул
|
Наименование |
Производитель
|
|---|
|
Артикул
|
Наименование |
Производитель
|
|---|
|
Артикул
|
Наименование |
Производитель
|
|---|
|
Артикул
|
Наименование |
Производитель
|
|---|
Акции и предложения
Популярные продукты:
IL1FA Mouse Monoclonal Antibody (BF9515)
Источник (хозяин): мышь
Реактивность подтвержденная: человек
Валидировано для: WB
Реактивность подтвержденная: человек
Валидировано для: WB
Guinea Pig Thioredoxin Binding Protein 2 ELISA kit (E05T0100)
Организм: морская свинка
Sheep Apolipoprotein A1 ELISA kit (E14A0509)
Организм: овца
Recombinant Human WDR1 Protein, N-GST & C-His (YHB08101)
Источник (хозяин): E.coli
Организм: человек
Фрагмент: Met1-Tyr606
Теги: N-GST & C-His
Биоактивность: нет
Организм: человек
Фрагмент: Met1-Tyr606
Теги: N-GST & C-His
Биоактивность: нет

