| UNIPROT | Q9GZQ8 |
Anti-LC3B Antibody (R3W31) (RHJ53201)
Реактивность подтвержденная:
человек, мышь, крыса, обезьяна
Источник (хозяин):
мышь
Валидировано для:
ELISA
FCM
IF
IHC
Характеристики
Техническое описание
| Русское название | RHJ53201 Моноклональное антитело к LC3B (R3W31) <AntibodySystem,Китай> |
| Каталожный номер | RHJ53201 |
| Название антигена | Microtubule Associated Protein 1 Light Chain 3 Beta (MAP1LC3b) |
| UNIPROT | Q9GZQ8 |
| Английские синонимы | MAP1A/1BLC3, ATG8F, Autophagy-related ubiquitin-like modifier LC3 B, MAP1 light chain 3-like protein 2 |
Реактивность подтвержденная Нужна другая реактивность? |
человек, мышь, крыса, обезьяна |
| Источник (хозяин) | мышь |
| Изотип | IgG1 |
| Клональность | моноклональное |
| Клон | R3W31 |
| Рекомбинантное | да |
| Готовое к использованию | нет |
| Концентрация | 1 мг/мл |
| Конъюгат | нет |
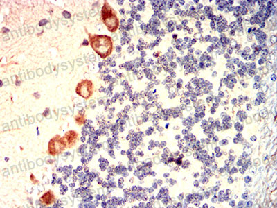
| Валидировано для | ELISA FCM IF IHC Иммуноферментный анализ; Проточная цитометрия; Иммунофлуоресценция; Иммуногистохимия |
| Рекомендуемые разведения | ELISA: 1:10000, FCM: 1:200-1:400, IF: 1:50-1:100, IHC: 1:50-1:100 |
| Метод очистки | Очистка с белками A/G из супернатанта клеточной культуры |
| Чистота | >95% |
| Состав буфера | 0.01M PBS, pH 7.4, 0.05% натрия азид |
| Условия хранения | Хранить при 4°C не более 1-2 недель. Хранить при -20°C - 12 месяцев |
| Срок хранения | 12 месяцев |
| Производитель | AntibodySystem |
| Ссылка на страницу товара на сайте производителя | https://www.antibodysystem.com/product/36692.html |
|
Артикул
|
Наименование |
Производитель
|
|---|
|
Артикул
|
Наименование |
Производитель
|
|---|
Акции и предложения
Популярные продукты:
Recombinant Human ADAMDEC1 Protein (His Tag) (PKSH032044)
Источник (хозяин): HEK293
Организм: человек
Фрагмент: Lys206-Glu470
Теги: C-His
Биоактивность: нет
Организм: человек
Фрагмент: Lys206-Glu470
Теги: C-His
Биоактивность: нет
Recombinant Human ADAM8/CD156a protein (His tag) (PDMH100073)
Источник (хозяин): HEK293
Организм: человек
Фрагмент: Met1-Ser653
Теги: C-His
Биоактивность: нет
Организм: человек
Фрагмент: Met1-Ser653
Теги: C-His
Биоактивность: нет
Recombinant Mouse CCL2/JE/MCP-1 Protein(Trx Tag) (PDEM100155)
Источник (хозяин): E.coli
Организм: мышь
Фрагмент: Gln24-Arg96
Теги: N-Trx
Биоактивность: нет
Организм: мышь
Фрагмент: Gln24-Arg96
Теги: N-Trx
Биоактивность: нет
Recombinant Human MIEF1 Protein, N-His (YHK36301)
Источник (хозяин): E.coli
Организм: человек
Фрагмент: Ala119-Thr463
Теги: N-His
Биоактивность: нет
Организм: человек
Фрагмент: Ala119-Thr463
Теги: N-His
Биоактивность: нет
Recombinant Human LC3B/MAP1LC3B Protein, N-His (YHJ53201)
Источник (хозяин): E.coli
Организм: человек
Фрагмент: Met1-Gly120
Теги: N-His
Биоактивность: нет
Организм: человек
Фрагмент: Met1-Gly120
Теги: N-His
Биоактивность: нет
Recombinant Human CD171/L1CAM Protein, N-His (YHD98202)
Источник (хозяин): E.coli
Организм: человек
Фрагмент: Thr218-Gln423
Теги: N-His
Биоактивность: нет
Организм: человек
Фрагмент: Thr218-Gln423
Теги: N-His
Биоактивность: нет

