| UNIPROT | O75367 |
Anti-MACROH2A1 Antibody (R2V67) (RHB17203)
Реактивность подтвержденная:
человек
Источник (хозяин):
мышь
Валидировано для:
IHC
Характеристики
Техническое описание
| Русское название | RHB17203 Моноклональное антитело к MACROH2A1 (R2V67) <AntibodySystem,Китай> |
| Каталожный номер | RHB17203 |
| Название антигена | H2A Histone Family, Member Y (H2AFY) |
| UNIPROT | O75367 |
| Английские синонимы | H2A.y, H2A/y, H2AF12M, mH2A1, macroH2A1.2, Core histone macro-H2A.1, Medulloblastoma antigen MU-MB-50.205 |
Реактивность подтвержденная Нужна другая реактивность? |
человек |
| Источник (хозяин) | мышь |
| Изотип | IgG1 |
| Клональность | моноклональное |
| Клон | R2V67 |
| Рекомбинантное | да |
| Готовое к использованию | нет |
| Концентрация | 1 мг/мл |
| Конъюгат | нет |
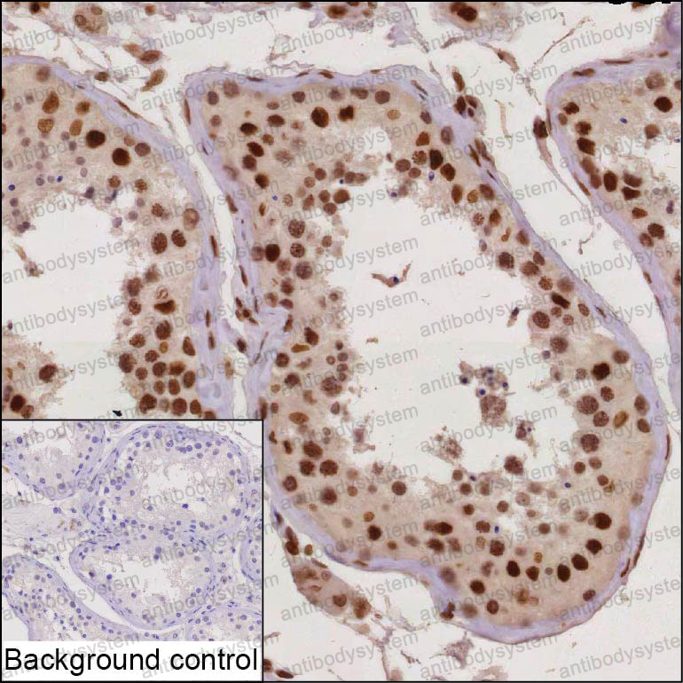
| Валидировано для | IHC Иммуногистохимия |
| Рекомендуемые разведения | IHC: 1:20-1:100 |
| Метод очистки | Очистка с белками A/G из супернатанта клеточной культуры |
| Чистота | >95% |
| Состав буфера | 0.01M PBS, pH 7.4, 0.05% натрия азид |
| Условия доставки | термобокс с аккумуляторами холода |
| Условия хранения | Хранить при 4°C не более 1-2 недель. Хранить при -20°C - 12 месяцев |
| Срок хранения | 12 месяцев |
| Производитель | AntibodySystem |
| Ссылка на страницу товара на сайте производителя | https://www.antibodysystem.com/product/34254.html |
|
Артикул
|
Наименование |
Производитель
|
|---|
|
Артикул
|
Наименование |
Производитель
|
|---|
|
Артикул
|
Наименование |
Производитель
|
|---|
Акции и предложения
Популярные продукты:
Anti-FMC63 scFv Monoclonal Antibody (SAA1996), PerCP (RAD10841)
Источник (хозяин): кролик
Реактивность подтвержденная: для всех
Валидировано для: ELISA, FCM
Реактивность подтвержденная: для всех
Валидировано для: ELISA, FCM
Monoclonal Antibody to Acetylcholinesterase (ACHE) (MAB447Hu26)
Источник (хозяин): мышь
Реактивность подтвержденная: человек
Валидировано для: ICC, IF
Реактивность подтвержденная: человек
Валидировано для: ICC, IF
Porcine Aftiphilin(AFTPH) ELISA kit (E07A1307)
Организм: свинья

