| UNIPROT | P46734 |
Anti-MAP2K3 Antibody (R3L55) (RHE48804)
Реактивность подтвержденная:
человек
Источник (хозяин):
мышь
Валидировано для:
ELISA
FCM
IF
IHC
Характеристики
Техническое описание
| Русское название | RHE48804 Моноклональное антитело к MAP2K3 (R3L55) <AntibodySystem,Китай> |
| Каталожный номер | RHE48804 |
| Название антигена | Mitogen Activated Protein Kinase Kinase 3 (MAP2K3) |
| UNIPROT | P46734 |
| Английские синонимы | MAPKK3, MEK3, MKK3, PRKMK3, SKK2, MAPK/ERK kinase 3, Stress-activated protein kinase kinase 2, Dual specificity mitogen-activated protein kinase kinase 3 |
Реактивность подтвержденная Нужна другая реактивность? |
человек |
| Источник (хозяин) | мышь |
| Изотип | IgG1 |
| Клональность | моноклональное |
| Клон | R3L55 |
| Рекомбинантное | да |
| Готовое к использованию | нет |
| Концентрация | 1 мг/мл |
| Конъюгат | нет |
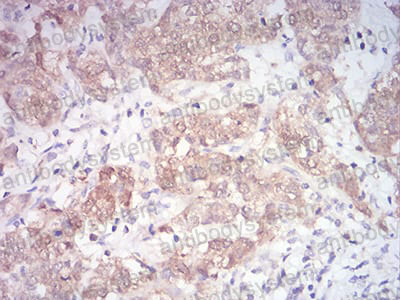
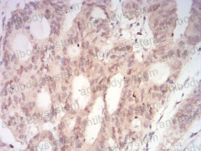
| Валидировано для | ELISA FCM IF IHC Иммуноферментный анализ; Проточная цитометрия; Иммунофлуоресценция; Иммуногистохимия |
| Рекомендуемые разведения | ELISA: 1:10000, FCM: 1:200-1:400, IF: 1:200-1:1000, IHC: 1:200-1:1000 |
| Метод очистки | Очистка с белками A/G из супернатанта клеточной культуры |
| Чистота | >95% |
| Состав буфера | 0.01M PBS, pH 7.4, 0.05% натрия азид |
| Условия хранения | Хранить при 4°C не более 1-2 недель. Хранить при -20°C - 12 месяцев |
| Срок хранения | 12 месяцев |
| Производитель | AntibodySystem |
| Ссылка на страницу товара на сайте производителя | https://www.antibodysystem.com/product/35727.html |
|
Артикул
|
Наименование |
Производитель
|
|---|
|
Артикул
|
Наименование |
Производитель
|
|---|
|
Артикул
|
Наименование |
Производитель
|
|---|
Акции и предложения
Популярные продукты:
Anti-Ubiquitin Like Modifier Activating Enzyme 2 (UBA2) Polyclonal Antibody (FAG158Hu01)
Источник (хозяин): кролик
Реактивность подтвержденная: человек
Валидировано для: FCM
Реактивность подтвержденная: человек
Валидировано для: FCM
Anti-DNA Antibody (BXW-16) (RGK23901)
Источник (хозяин): мышь
Реактивность подтвержденная: для всех
Валидировано для: ELISA, IF
Реактивность подтвержденная: для всех
Валидировано для: ELISA, IF
Anti-CAMK2A Antibody (R4A24) (RHN59806)
Источник (хозяин): мышь
Реактивность подтвержденная: человек, мышь
Валидировано для: WB
Реактивность подтвержденная: человек, мышь
Валидировано для: WB
Anti-MAP2K3 Antibody (R3L55) (RHE48804)
Источник (хозяин): мышь
Реактивность подтвержденная: человек
Валидировано для: ELISA, FCM, IF, IHC
Реактивность подтвержденная: человек
Валидировано для: ELISA, FCM, IF, IHC
Anti-MAP2K3 Antibody (R1W82) (RHE48803)
Источник (хозяин): кролик
Реактивность подтвержденная: человек, мышь, крыса
Валидировано для: IF, IP, WB
Реактивность подтвержденная: человек, мышь, крыса
Валидировано для: IF, IP, WB

