| UNIPROT | Q92918 |
Anti-MAP4K1 Antibody (R4C16) (RHN99501)
Реактивность подтвержденная:
человек, мышь, крыса, обезьяна
Источник (хозяин):
мышь
Валидировано для:
ELISA
FCM
IHC
WB
Характеристики
Техническое описание
| Русское название | RHN99501 Моноклональное антитело к MAP4K1 (R4C16) <AntibodySystem,Китай> |
| Каталожный номер | RHN99501 |
| Название антигена | Mitogen Activated Protein Kinase Kinase Kinase Kinase 1 (MAP4K1) |
| UNIPROT | Q92918 |
| Английские синонимы | HPK1, MEKKK 1, Hematopoietic Progenitor Kinase 1, MAPK/ERK kinase kinase kinase 1 |
Реактивность подтвержденная Нужна другая реактивность? |
человек, мышь, крыса, обезьяна |
| Источник (хозяин) | мышь |
| Изотип | IgG1 |
| Клональность | моноклональное |
| Клон | R4C16 |
| Рекомбинантное | да |
| Готовое к использованию | нет |
| Концентрация | 1 мг/мл |
| Конъюгат | нет |
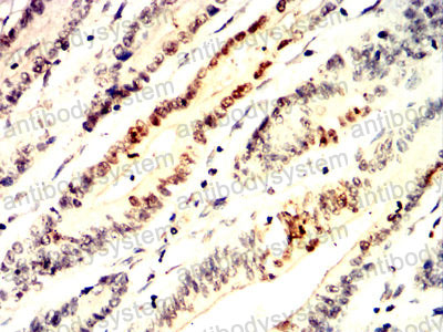
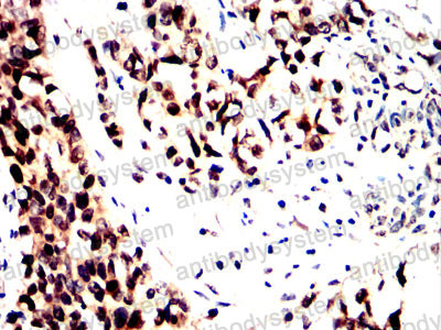
| Валидировано для | ELISA FCM IHC WB Иммуноферментный анализ; Проточная цитометрия; Иммуногистохимия; Вестерн-блоттинг |
| Рекомендуемые разведения | ELISA: 1:10000, FCM: 1:200-1:400, IHC: 1:200-1:1000, WB: 1:500-1:2000 |
| Метод очистки | Очистка с белками A/G из супернатанта клеточной культуры |
| Чистота | >95% |
| Состав буфера | 0.01M PBS, pH 7.4, 0.05% натрия азид |
| Условия хранения | Хранить при 4°C не более 1-2 недель. Хранить при -20°C - 12 месяцев |
| Срок хранения | 12 месяцев |
| Производитель | AntibodySystem |
| Ссылка на страницу товара на сайте производителя | https://www.antibodysystem.com/product/37271.html |
|
Артикул
|
Наименование |
Производитель
|
|---|
Акции и предложения
Популярные продукты:
ELISA Kit DIY Materials for Monocyte Chemotactic Protein 1 (MCP1) (KSA087Po01)
Организм: свинья
Диапазон определения: 0.156-10 нг/мл
Чувствительность: 0.061 нг/мл
Диапазон определения: 0.156-10 нг/мл
Чувствительность: 0.061 нг/мл
Rat LIM/homeobox protein Lhx6(LHX6) ELISA kit (E02L0105)
Организм: крыса
Sheep Protein capicua homolog ELISA kit (E14C1725)
Организм: овца
Sheep Filamin B, β ELISA kit (E14F0100)
Организм: овца
Canine G Protein β 1 ELISA kit (E08G0210)
Организм: собака

