| UNIPROT | P27361 |
Anti-MAPK3 Antibody (R3H24) (RHD73609)
Реактивность подтвержденная:
человек, мышь, крыса, обезьяна
Источник (хозяин):
мышь
Валидировано для:
ELISA
FCM
IF
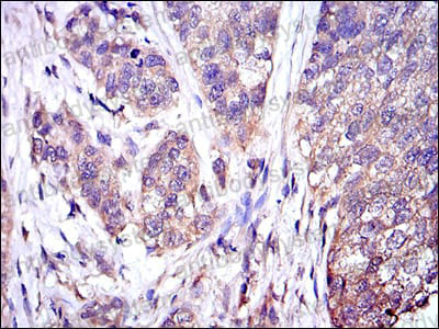
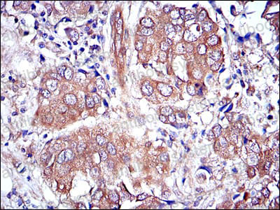
IHC
WB
Характеристики
Техническое описание
| Русское название | RHD73609 Моноклональное антитело к MAPK3 (R3H24) <AntibodySystem,Китай> |
| Каталожный номер | RHD73609 |
| Название антигена | Extracellular Signal Regulated Kinase 1 (ERK1) |
| UNIPROT | P27361 |
| Английские синонимы | HS44KDAP, HUMKER1A, P44ERK1, P44MAPK, PRKM3, MAPK3, ERT2, Mitogen-Activated Protein Kinase 3, Insulin-stimulated MAP2 kinase, Microtubule-associated protein 2 kinase |
Реактивность подтвержденная Нужна другая реактивность? |
человек, мышь, крыса, обезьяна |
| Источник (хозяин) | мышь |
| Изотип | IgG1 |
| Клональность | моноклональное |
| Клон | R3H24 |
| Рекомбинантное | да |
| Готовое к использованию | нет |
| Концентрация | 1 мг/мл |
| Конъюгат | нет |
| Валидировано для | ELISA FCM IF IHC WB Иммуноферментный анализ; Проточная цитометрия; Иммунофлуоресценция; Иммуногистохимия; Вестерн-блоттинг |
| Рекомендуемые разведения | ELISA: 1:10000, FCM: 1:200-1:400, IF: 1:200-1:1000, IHC: 1:200-1:1000, WB: 1:500-1:2000 |
| Метод очистки | Очистка с белками A/G из супернатанта клеточной культуры |
| Чистота | >95% |
| Состав буфера | 0.01M PBS, pH 7.4, 0.05% натрия азид |
| Условия хранения | Хранить при 4°C не более 1-2 недель. Хранить при -20°C - 12 месяцев |
| Срок хранения | 12 месяцев |
| Производитель | AntibodySystem |
| Ссылка на страницу товара на сайте производителя | https://www.antibodysystem.com/product/35399.html |
|
Артикул
|
Наименование |
Производитель
|
|---|
|
Артикул
|
Наименование |
Производитель
|
|---|
|
Артикул
|
Наименование |
Производитель
|
|---|
|
Артикул
|
Наименование |
Производитель
|
|---|
|
Артикул
|
Наименование |
Производитель
|
|---|
|
Артикул
|
Наименование |
Производитель
|
|---|
|
Артикул
|
Наименование |
Производитель
|
|---|
|
Артикул
|
Наименование |
Производитель
|
|---|
|
Артикул
|
Наименование |
Производитель
|
|---|
|
Артикул
|
Наименование |
Производитель
|
|---|
|
Артикул
|
Наименование |
Производитель
|
|---|
Акции и предложения
Популярные продукты:
ELISA Kit DIY Materials for Cytochrome P450 11B1 (CYP11B1) (KSD546Ra01)
Организм: крыса
Диапазон определения: 0.78-50 нг/мл
Чувствительность: 0.31 нг/мл
Диапазон определения: 0.78-50 нг/мл
Чувствительность: 0.31 нг/мл
Canine Lymphocyte antigen 86 ELISA kit (E08L1200)
Организм: собака
Rabbit Cerebellin 4(CBLN4) ELISA kit (E04C1410)
Организм: кролик
Chicken β Defensin 3 ELISA kit (E12B0003)
Организм: курица
Goat Syndecan 3(SDC3) ELISA kit (E06S0351)
Организм: коза

