| UNIPROT | P51608 |
Anti-MECP2 Antibody (R3M55) (RHE84004)
Реактивность подтвержденная:
человек
Источник (хозяин):
мышь
Валидировано для:
ELISA
FCM
IF
IHC
WB
Характеристики
Техническое описание
| Русское название | RHE84004 Моноклональное антитело к MECP2 (R3M55) <AntibodySystem,Китай> |
| Каталожный номер | RHE84004 |
| Название антигена | Methyl CpG Binding Protein 2 (MECP2) |
| UNIPROT | P51608 |
| Английские синонимы | RTS, AUTSX3, MRX16, MRX79, PPMX, RTT, Rett Syndrome, Mental Retardation,X-linked 16 |
Реактивность подтвержденная Нужна другая реактивность? |
человек |
| Источник (хозяин) | мышь |
| Изотип | IgG1 |
| Клональность | моноклональное |
| Клон | R3M55 |
| Рекомбинантное | да |
| Готовое к использованию | нет |
| Концентрация | 1 мг/мл |
| Конъюгат | нет |
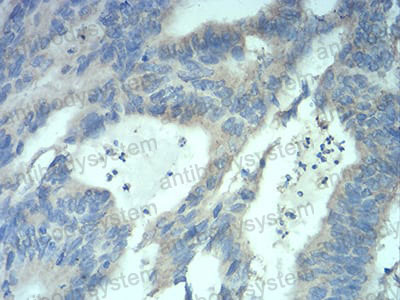
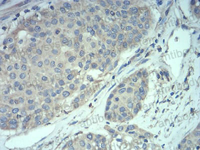
| Валидировано для | ELISA FCM IF IHC WB Иммуноферментный анализ; Проточная цитометрия; Иммунофлуоресценция; Иммуногистохимия; Вестерн-блоттинг |
| Рекомендуемые разведения | ELISA: 1:10000, FCM: 1:200-1:400, IF: 1:200-1:1000, IHC: 1:200-1:1000, WB: 1:500-1:2000 |
| Метод очистки | Очистка с белками A/G из супернатанта клеточной культуры |
| Чистота | >95% |
| Состав буфера | 0.01M PBS, pH 7.4, 0.05% натрия азид |
| Условия хранения | Хранить при 4°C не более 1-2 недель. Хранить при -20°C - 12 месяцев |
| Срок хранения | 12 месяцев |
| Производитель | AntibodySystem |
| Ссылка на страницу товара на сайте производителя | https://www.antibodysystem.com/product/35826.html |
|
Артикул
|
Наименование |
Производитель
|
|---|
|
Артикул
|
Наименование |
Производитель
|
|---|
|
Артикул
|
Наименование |
Производитель
|
|---|
|
Артикул
|
Наименование |
Производитель
|
|---|
Акции и предложения
Популярные продукты:
Canine β klotho(KLB) ELISA kit (E08B0942)
Организм: собака
Anti-CD137/TNFRSF9 Polyclonal Antibody (PHG11001)
Источник (хозяин): кролик
Реактивность подтвержденная: человек
Валидировано для: ELISA, IHC, WB
Реактивность подтвержденная: человек
Валидировано для: ELISA, IHC, WB
RHD Polyclonal Antibody (E-AB-66421)
Источник (хозяин): кролик
Реактивность подтвержденная: мышь, крыса
Валидировано для: WB
Реактивность подтвержденная: мышь, крыса
Валидировано для: WB
MeCP2 Antibody (AF9265)
Источник (хозяин): кролик
Реактивность подтвержденная: человек, мышь, крыса
Валидировано для: WB, IF, ICC
Реактивность подтвержденная: человек, мышь, крыса
Валидировано для: WB, IF, ICC
ELISA Kit DIY Materials for Betaine Homocysteine Methyltransferase (BHMT) (KSG464Hu01)
Организм: человек
Диапазон определения: 0.312-20 нг/мл
Чувствительность: 0.115 нг/мл
Диапазон определения: 0.312-20 нг/мл
Чувствительность: 0.115 нг/мл

