| UNIPROT | Q4G0A6 |
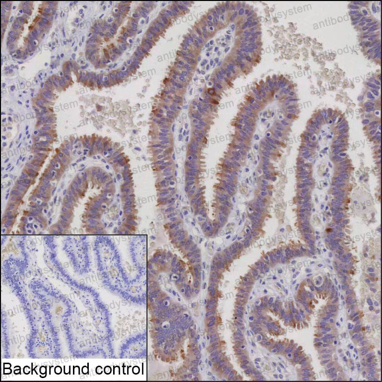
Anti-MINDY4 Antibody (R3U80) (RHH76801)
Реактивность подтвержденная:
человек
Источник (хозяин):
мышь
Валидировано для:
IHC
Характеристики
Техническое описание
| Русское название | RHH76801 Моноклональное антитело к MINDY4 (R3U80) <AntibodySystem,Китай> |
| Каталожный номер | RHH76801 |
| Название антигена | Family With Sequence Similarity 188, Member B (FAM188B) |
| UNIPROT | Q4G0A6 |
| Английские синонимы | C7orf67, Derp5, Dermal Papilla Derived Protein 5 |
Реактивность подтвержденная Нужна другая реактивность? |
человек |
| Источник (хозяин) | мышь |
| Изотип | IgG1 |
| Клональность | моноклональное |
| Клон | R3U80 |
| Рекомбинантное | да |
| Готовое к использованию | нет |
| Концентрация | 1 мг/мл |
| Конъюгат | нет |
| Валидировано для | IHC Иммуногистохимия |
| Рекомендуемые разведения | IHC: 1:20-1:100 |
| Метод очистки | Очистка с белками A/G из супернатанта клеточной культуры |
| Чистота | >95% |
| Состав буфера | 0.01M PBS, pH 7.4, 0.05% натрия азид |
| Условия хранения | Хранить при 4°C не более 1-2 недель. Хранить при -20°C - 12 месяцев |
| Срок хранения | 12 месяцев |
| Производитель | AntibodySystem |
| Ссылка на страницу товара на сайте производителя | https://www.antibodysystem.com/product/36543.html |
Акции и предложения
Популярные продукты:
ELISA Kit DIY Materials for Chemokine (C-C motif) ligand 6 (CCL6) (KSB060Mu01)
Организм: мышь
Диапазон определения: 31.2-2000 пг/мл
Чувствительность: 13.1 пг/мл
Диапазон определения: 31.2-2000 пг/мл
Чувствительность: 13.1 пг/мл
Anti-PDLIM5 Antibody (R4C72) (RHP04401)
Источник (хозяин): мышь
Реактивность подтвержденная: человек
Валидировано для: WB
Реактивность подтвержденная: человек
Валидировано для: WB
Anti-MINDY4 Antibody (R3U80) (RHH76801)
Источник (хозяин): мышь
Реактивность подтвержденная: человек
Валидировано для: IHC
Реактивность подтвержденная: человек
Валидировано для: IHC
Anti-IQGAP2 Antibody (R3S83) (RHG59604)
Источник (хозяин): мышь
Реактивность подтвержденная: человек
Валидировано для: IHC, WB
Реактивность подтвержденная: человек
Валидировано для: IHC, WB
Anti-DNAJA4 Antibody (R2P87) (RHN65702)
Источник (хозяин): кролик
Реактивность подтвержденная: человек, мышь, крыса
Валидировано для: IP, WB
Реактивность подтвержденная: человек, мышь, крыса
Валидировано для: IP, WB
Anti-RUVBL1 Antibody (R2L04) (RHJ85101)
Источник (хозяин): кролик
Реактивность подтвержденная: человек, мышь, крыса
Валидировано для: FCM, WB
Реактивность подтвержденная: человек, мышь, крыса
Валидировано для: FCM, WB

