| UNIPROT | P40692 |
Anti-MLH1 Antibody (R3K39) (RHE27606)
Реактивность подтвержденная:
человек
Источник (хозяин):
мышь
Валидировано для:
ELISA
FCM
IHC
WB
Характеристики
Техническое описание
| Русское название | RHE27606 Моноклональное антитело к MLH1 (R3K39) <AntibodySystem,Китай> |
| Каталожный номер | RHE27606 |
| Название антигена | MutL Homolog 1 (MLH1) |
| UNIPROT | P40692 |
| Английские синонимы | COCA2, FCC2, HNPCC, HNPCC2, hMLH1, DNA mismatch repair protein Mlh1 |
Реактивность подтвержденная Нужна другая реактивность? |
человек |
| Источник (хозяин) | мышь |
| Изотип | IgG1 |
| Клональность | моноклональное |
| Клон | R3K39 |
| Рекомбинантное | да |
| Готовое к использованию | нет |
| Концентрация | 1 мг/мл |
| Конъюгат | нет |
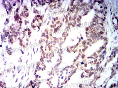
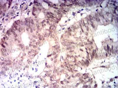
| Валидировано для | ELISA FCM IHC WB Иммуноферментный анализ; Проточная цитометрия; Иммуногистохимия; Вестерн-блоттинг |
| Рекомендуемые разведения | ELISA: 1:10000, FCM: 1:200-1:400, IHC: 1:200-1:1000, WB: 1:500-1:2000 |
| Метод очистки | Очистка с белками A/G из супернатанта клеточной культуры |
| Чистота | >95% |
| Состав буфера | 0.01M PBS, pH 7.4, 0.05% натрия азид |
| Условия хранения | Хранить при 4°C не более 1-2 недель. Хранить при -20°C - 12 месяцев |
| Срок хранения | 12 месяцев |
| Производитель | AntibodySystem |
| Ссылка на страницу товара на сайте производителя | https://www.antibodysystem.com/product/35612.html |
|
Артикул
|
Наименование |
Производитель
|
|---|
|
Артикул
|
Наименование |
Производитель
|
|---|
|
Артикул
|
Наименование |
Производитель
|
|---|
Акции и предложения
Популярные продукты:
Polyclonal Antibody to Desmoglein 1 (DSG1) (PAA729Hu02)
Источник (хозяин): кролик
Реактивность подтвержденная: человек
Валидировано для: WB
Реактивность подтвержденная: человек
Валидировано для: WB
Human Amylase Alpha 2,Pancreatic ELISA kit (E01A0475)
Организм: человек
Диапазон определения: 50-1000 пг/мл
Чувствительность: 0.1 нг/мл
Диапазон определения: 50-1000 пг/мл
Чувствительность: 0.1 нг/мл
Monkey Cardiac Troponin I ELISA kit (E09T0016)
Организм: обезьяна
Anti-Mouse GDF15/MIC1 Polyclonal Antibody (PMJ48301)
Источник (хозяин): кролик
Реактивность подтвержденная: мышь
Валидировано для: ELISA, IHC, WB
Реактивность подтвержденная: мышь
Валидировано для: ELISA, IHC, WB
Anti-α-Gal Epitope (Galα1-3Galβ1-4GlcNAc-R) Antibody (M86) (RGK25402)
Источник (хозяин): мышь
Реактивность подтвержденная: мышь, крыса, свинья
Валидировано для: ELISA, FCM, FuncS, IHC-P, WB
Реактивность подтвержденная: мышь, крыса, свинья
Валидировано для: ELISA, FCM, FuncS, IHC-P, WB
Recombinant Human OLFM1 Protein, N-His (YHJ46801)
Источник (хозяин): E.coli
Организм: человек
Фрагмент: Ala153-Gly420
Теги: N-His
Биоактивность: нет
Организм: человек
Фрагмент: Ala153-Gly420
Теги: N-His
Биоактивность: нет

