| UNIPROT | Q8NB16 |
Anti-MLKL Antibody (R3V41) (RHJ23605)
Реактивность подтвержденная:
человек
Источник (хозяин):
мышь
Валидировано для:
IHC
Характеристики
Техническое описание
| Русское название | RHJ23605 Моноклональное антитело к MLKL (R3V41) <AntibodySystem,Китай> |
| Каталожный номер | RHJ23605 |
| Название антигена | Mixed Lineage Kinase Domain Like Protein (MLKL) |
| UNIPROT | Q8NB16 |
Реактивность подтвержденная Нужна другая реактивность? |
человек |
| Источник (хозяин) | мышь |
| Изотип | IgG1 |
| Клональность | моноклональное |
| Клон | R3V41 |
| Рекомбинантное | да |
| Готовое к использованию | нет |
| Концентрация | 1 мг/мл |
| Конъюгат | нет |
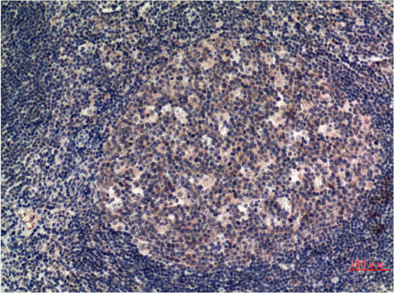
| Валидировано для | IHC Иммуногистохимия |
| Рекомендуемые разведения | IHC: 1:50-1:100 |
| Метод очистки | Очистка с белками A/G из супернатанта клеточной культуры |
| Чистота | >95% |
| Состав буфера | 0.01M PBS, pH 7.4, 0.5% БСА, 0.05% натрия азид,50% глицерин |
| Условия хранения | Хранить при 4°C не более 1-2 недель. Хранить при -20°C - 12 месяцев |
| Срок хранения | 12 месяцев |
| Производитель | AntibodySystem |
| Ссылка на страницу товара на сайте производителя | https://www.antibodysystem.com/product/36603.html |
|
Артикул
|
Наименование |
Производитель
|
|---|
|
Артикул
|
Наименование |
Производитель
|
|---|
|
Артикул
|
Наименование |
Производитель
|
|---|
|
Артикул
|
Наименование |
Производитель
|
|---|
Акции и предложения
Популярные продукты:
Chicken Anti EJ antibody ELISA kit (E12E0135)
Организм: курица
Monkey Androgen Receptor ELISA kit (E09A0636)
Организм: обезьяна
Anti-MLKL Antibody (R3V41) (RHJ23605)
Источник (хозяин): мышь
Реактивность подтвержденная: человек
Валидировано для: IHC
Реактивность подтвержденная: человек
Валидировано для: IHC
Anti-NLRP3 Antibody (R2J73) (RHJ41102)
Источник (хозяин): кролик
Реактивность подтвержденная: человек
Валидировано для: WB
Реактивность подтвержденная: человек
Валидировано для: WB
Active NLR Family, Pyrin Domain Protein 3 (NLRP3) (APK115Mu01)
Источник (хозяин): E.coli
Организм: мышь
Фрагмент: Cys671-Trp1033
Теги: N-концевой His-Tag
Биоактивность: да
Организм: мышь
Фрагмент: Cys671-Trp1033
Теги: N-концевой His-Tag
Биоактивность: да
Multiplex Assay Kit for Immunoglobulin E (IgE) (LMA545Ra)
Организм: крыса
Диапазон определения: 1.95-2000 пг/мл
Чувствительность: 0.65 пг/мл
Диапазон определения: 1.95-2000 пг/мл
Чувствительность: 0.65 пг/мл

