| UNIPROT | P03956 |
Anti-MMP1 Antibody (R3A68) (RHC04403)
Реактивность подтвержденная:
человек
Источник (хозяин):
мышь
Валидировано для:
ELISA
FCM
IF
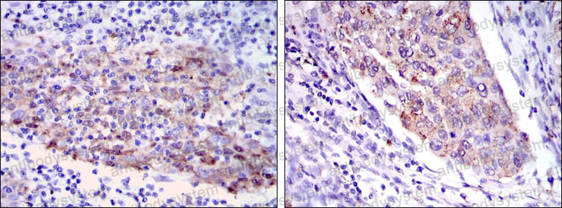
IHC
Характеристики
Техническое описание
| Русское название | RHC04403 Моноклональное антитело к MMP1 (R3A68) <AntibodySystem,Китай> |
| Каталожный номер | RHC04403 |
| Название антигена | Matrix Metalloproteinase 1 (MMP1) |
| UNIPROT | P03956 |
| Английские синонимы | CLGN, CLG1, Collagenase, Interstitial Collagenase, Vertebrate Collagenase, Fibroblast Collagenase, MMP-1 |
| Русские синонимы | ММП1, ММП-1, Внутритканевая коллагеназа |
Реактивность подтвержденная Нужна другая реактивность? |
человек |
| Источник (хозяин) | мышь |
| Изотип | IgG1 |
| Клональность | моноклональное |
| Клон | R3A68 |
| Рекомбинантное | да |
| Готовое к использованию | нет |
| Концентрация | 1 мг/мл |
| Конъюгат | нет |
| Валидировано для | ELISA FCM IF IHC Иммуноферментный анализ; Проточная цитометрия; Иммунофлуоресценция; Иммуногистохимия |
| Рекомендуемые разведения | ELISA: 1:10000, FCM: 1:200-1:400, IF: 1:200-1:1000, IHC: 1:200-1:1000 |
| Метод очистки | Очистка с белками A/G из супернатанта клеточной культуры |
| Чистота | >95% |
| Состав буфера | 0.01M PBS, pH 7.4, 0.05% натрия азид |
| Условия доставки | термобокс с аккумуляторами холода |
| Условия хранения | Хранить при 4°C не более 1-2 недель. Хранить при -20°C - 12 месяцев |
| Срок хранения | 12 месяцев |
| Производитель | AntibodySystem |
| Ссылка на страницу товара на сайте производителя | https://www.antibodysystem.com/product/34750.html |
|
Артикул
|
Наименование |
Производитель
|
|---|
|
Артикул
|
Наименование |
Производитель
|
|---|
|
Артикул
|
Наименование |
Производитель
|
|---|
|
Артикул
|
Наименование |
Производитель
|
|---|
|
Артикул
|
Наименование |
Производитель
|
|---|
|
Артикул
|
Наименование |
Производитель
|
|---|
|
Артикул
|
Наименование |
Производитель
|
|---|
|
Артикул
|
Наименование |
Производитель
|
|---|
|
Артикул
|
Наименование |
Производитель
|
|---|
Акции и предложения
Популярные продукты:
Recombinant SARS-CoV-2 (SARS-CoV-2) S protein RBD (C-mFc-6His tag) (PKSV030276)
Источник (хозяин): HEK293
Организм: вирусы
Фрагмент: Arg319-Phe541
Теги: C-mFc-His
Биоактивность: нет
Организм: вирусы
Фрагмент: Arg319-Phe541
Теги: C-mFc-His
Биоактивность: нет
ELISA Kit DIY Materials for Hexokinase 1 (HK1) (KSA775Hu01)
Организм: человек
Диапазон определения: 62.5-4000 пг/мл
Чувствительность: 21.5 пг/мл
Диапазон определения: 62.5-4000 пг/мл
Чувствительность: 21.5 пг/мл
Sheep Malic Acid ELISA Kit (E14M0534)
Организм: овца
Rabbit Malic Acid ELISA Kit (E04M0534)
Организм: кролик

