| UNIPROT | P14780 |
Anti-MMP9 Antibody (R3D69) (RHD06804)
Реактивность подтвержденная:
человек, мышь, крыса, кролик, обезьяна
Источник (хозяин):
мышь
Валидировано для:
ELISA
FCM
IF
IHC
Характеристики
Техническое описание
| Русское название | RHD06804 Моноклональное антитело к MMP9 (R3D69) <AntibodySystem,Китай> |
| Каталожный номер | RHD06804 |
| Название антигена | Matrix Metalloproteinase 9 (MMP9) |
| UNIPROT | P14780 |
| Английские синонимы | GELB, Gelatinase B, CLG4B, CLG4-B, 92 KDa Gelatinase, 92kDa Type IV Collagenase, MMP-9 |
| Русские синонимы | ММП9, ММП-9, Желатиназа В |
Реактивность подтвержденная Нужна другая реактивность? |
человек, мышь, крыса, кролик, обезьяна |
| Источник (хозяин) | мышь |
| Изотип | IgG2a |
| Клональность | моноклональное |
| Клон | R3D69 |
| Рекомбинантное | да |
| Готовое к использованию | нет |
| Концентрация | 1 мг/мл |
| Конъюгат | нет |
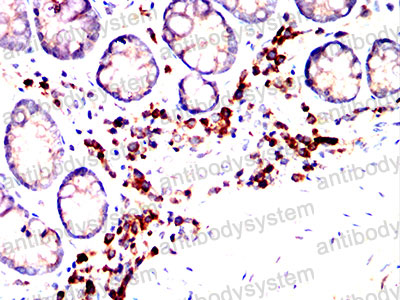
| Валидировано для | ELISA FCM IF IHC Иммуноферментный анализ; Проточная цитометрия; Иммунофлуоресценция; Иммуногистохимия |
| Рекомендуемые разведения | ELISA: 1:10000, FCM: 1:200-1:400, IF: 1:200-1:1000, IHC: 1:200-1:1000 |
| Метод очистки | Очистка с белками A/G из супернатанта клеточной культуры |
| Чистота | >95% |
| Состав буфера | 0.01M PBS, pH 7.4, 0.05% натрия азид |
| Условия доставки | термобокс с аккумуляторами холода |
| Условия хранения | Хранить при 4°C не более 1-2 недель. Хранить при -20°C - 12 месяцев |
| Срок хранения | 12 месяцев |
| Производитель | AntibodySystem |
| Ссылка на страницу товара на сайте производителя | https://www.antibodysystem.com/product/35048.html |
|
Артикул
|
Наименование |
Производитель
|
|---|
|
Артикул
|
Наименование |
Производитель
|
|---|
|
Артикул
|
Наименование |
Производитель
|
|---|
|
Артикул
|
Наименование |
Производитель
|
|---|
|
Артикул
|
Наименование |
Производитель
|
|---|
|
Артикул
|
Наименование |
Производитель
|
|---|
|
Артикул
|
Наименование |
Производитель
|
|---|
|
Артикул
|
Наименование |
Производитель
|
|---|
|
Артикул
|
Наименование |
Производитель
|
|---|
|
Артикул
|
Наименование |
Производитель
|
|---|
|
Артикул
|
Наименование |
Производитель
|
|---|
|
Артикул
|
Наименование |
Производитель
|
|---|
|
Артикул
|
Наименование |
Производитель
|
|---|
Акции и предложения
Популярные продукты:
Total Amino Acids (T-AA) Colorimetric Assay Kit (E-BC-K055-S)
Организм: для всех
Диапазон определения: 4.73 ммоль/л
Чувствительность: 4.73-100 ммоль/л
Диапазон определения: 4.73 ммоль/л
Чувствительность: 4.73-100 ммоль/л
Monkey Cell division cycle associated protein 3(CDCA3) ELISA kit (E09C1527)
Организм: обезьяна
Porcine Peripherin ELISA kit (E07P1061)
Организм: свинья
Sheep Angiomotin ELISA kit (E14A0223)
Организм: овца

