| UNIPROT | O14793 |
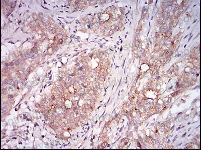
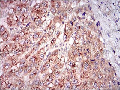
Anti-MSTN/GDF8 Antibody (R2T98) (RHA30603)
Реактивность подтвержденная:
человек
Источник (хозяин):
мышь
Валидировано для:
ELISA
IHC
Характеристики
Техническое описание
| Русское название | RHA30603 Моноклональное антитело к MSTN/GDF8 (R2T98) <AntibodySystem,Китай> |
| Каталожный номер | RHA30603 |
| Название антигена | Myostatin (MSTN) |
| UNIPROT | O14793 |
| Английские синонимы | GDF8, Growth Differentiation Factor 8 |
| Русские синонимы | Фактор роста и дифференцировки 8 |
Реактивность подтвержденная Нужна другая реактивность? |
человек |
| Источник (хозяин) | мышь |
| Изотип | IgG2b |
| Клональность | моноклональное |
| Клон | R2T98 |
| Рекомбинантное | да |
| Готовое к использованию | нет |
| Концентрация | 1 мг/мл |
| Конъюгат | нет |
| Валидировано для | ELISA IHC Иммуноферментный анализ; Иммуногистохимия |
| Рекомендуемые разведения | ELISA: 1:10000, IHC: 1:200-1:1000 |
| Метод очистки | Очистка с белками A/G из супернатанта клеточной культуры |
| Чистота | >95% |
| Состав буфера | 0.01M PBS, pH 7.4, 0.05% натрия азид |
| Условия доставки | термобокс с аккумуляторами холода |
| Условия хранения | Хранить при 4°C не более 1-2 недель. Хранить при -20°C - 12 месяцев |
| Срок хранения | 12 месяцев |
| Производитель | AntibodySystem |
| Ссылка на страницу товара на сайте производителя | https://www.antibodysystem.com/product/34087.html |
|
Артикул
|
Наименование |
Производитель
|
|---|
|
Артикул
|
Наименование |
Производитель
|
|---|
|
Артикул
|
Наименование |
Производитель
|
|---|
|
Артикул
|
Наименование |
Производитель
|
|---|
|
Артикул
|
Наименование |
Производитель
|
|---|
|
Артикул
|
Наименование |
Производитель
|
|---|
|
Артикул
|
Наименование |
Производитель
|
|---|
|
Артикул
|
Наименование |
Производитель
|
|---|
|
Артикул
|
Наименование |
Производитель
|
|---|
|
Артикул
|
Наименование |
Производитель
|
|---|
Акции и предложения
Популярные продукты:
Sheep Glucocorticoid Induced Tumor Necrosis Factor Receptor ELISA Kit (E14G0586)
Организм: овца
Диапазон определения: 2.5-50 нг/мл
Диапазон определения: 2.5-50 нг/мл
Chicken Glucocorticoid receptor Alpha ELISA kit (E12G0360)
Организм: курица
Goat Inhibin B ELISA kit (E06I0005)
Организм: коза
Rat Meprin A Alpha ELISA kit (E02M0529)
Организм: крыса
Recombinant Human SerpinE1/PAI-1 Protein (His Tag) (PKSH031702)
Источник (хозяин): HEK293
Организм: человек
Фрагмент: Met 1-Pro 402
Теги: C-His
Биоактивность: да
Организм: человек
Фрагмент: Met 1-Pro 402
Теги: C-His
Биоактивность: да

